Wright Giemsa Stain

Wright Giemsa Stain

The Wright Giemsa Stain is a widely used staining technique in microbiology and hematology, particularly for the differential staining of blood cells and other biological specimens. This method, developed by James Homer Wright and later modified by Gustav Giemsa, provides a clear and detailed view of cellular structures, making it an invaluable tool for diagnostic purposes. The stain's ability to differentiate between various types of white blood cells, as well as its utility in identifying parasites and other microorganisms, has made it a staple in clinical laboratories worldwide.

History and Development of the Wright Giemsa Stain

The Wright Giemsa Stain has a rich history that dates back to the late 19th and early 20th centuries. James Homer Wright, an American pathologist, initially developed the stain in 1902. His method involved using a combination of methylene blue and eosin to stain blood smears, which allowed for the differentiation of various blood cell types. However, it was Gustav Giemsa, a German physician, who later modified the stain in 1904, enhancing its staining properties and making it more reliable for diagnostic purposes.

Giemsa's modification involved the use of a mixture of methylene blue, azure B, and eosin, which provided a more consistent and detailed staining of blood cells. This improvement made the Wright Giemsa Stain a preferred method for hematological examinations, as it allowed for the clear identification of different types of white blood cells, red blood cells, and platelets.

Components and Preparation of the Wright Giemsa Stain

The Wright Giemsa Stain is composed of several key components, each playing a crucial role in the staining process. The primary components include:

  • Methylene blue: A basic dye that stains acidic structures such as nucleic acids.
  • Azure B: A derivative of methylene blue that enhances the staining of certain cellular components.
  • Eosin: An acidic dye that stains basic structures such as cytoplasm and extracellular proteins.
  • Methanol: A solvent used to fix the cells and enhance the penetration of the stain.

The preparation of the Wright Giemsa Stain involves mixing these components in specific proportions to achieve the desired staining properties. The typical preparation method includes:

  1. Dissolving methylene blue and azure B in methanol to create a stock solution.
  2. Adding eosin to the stock solution and mixing thoroughly.
  3. Adjusting the pH of the solution to ensure optimal staining.
  4. Filtering the solution to remove any impurities.

📝 Note: It is essential to follow the manufacturer's instructions for the preparation of the Wright Giemsa Stain to ensure consistent and reliable results.

Staining Procedure

The staining procedure using the Wright Giemsa Stain involves several steps, each crucial for achieving optimal results. The general steps are as follows:

  1. Prepare a blood smear on a clean glass slide.
  2. Allow the smear to air dry completely.
  3. Fix the smear by immersing the slide in methanol for a few seconds.
  4. Stain the smear by immersing the slide in the Wright Giemsa Stain solution for 5-10 minutes.
  5. Rinse the slide with distilled water to remove excess stain.
  6. Allow the slide to air dry completely.
  7. Examine the stained smear under a microscope.

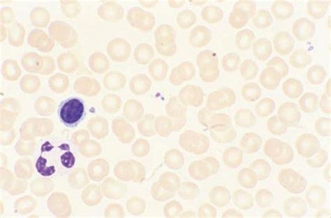
During the staining process, the Wright Giemsa Stain differentiates between various cellular components based on their affinity for the dyes. For example, the nuclei of cells stain a dark blue or purple color due to the affinity of methylene blue and azure B for nucleic acids. The cytoplasm and other basic structures stain a pink or red color due to the affinity of eosin for these components.

Applications of the Wright Giemsa Stain

The Wright Giemsa Stain has a wide range of applications in microbiology and hematology. Some of the key applications include:

  • Differential staining of white blood cells: The stain allows for the clear identification of different types of white blood cells, including neutrophils, eosinophils, basophils, lymphocytes, and monocytes.
  • Identification of parasites: The Wright Giemsa Stain is useful for identifying various parasites, such as malaria parasites, in blood smears.
  • Detection of bacterial infections: The stain can help in the identification of bacterial infections by highlighting the presence of bacteria in blood or tissue samples.
  • Diagnosis of hematological disorders: The stain is essential for the diagnosis of various hematological disorders, such as leukemia and anemia, by providing detailed information about the morphology and distribution of blood cells.

In addition to these applications, the Wright Giemsa Stain is also used in research settings to study the morphology and function of blood cells and other biological specimens.

Interpreting Wright Giemsa Stained Smears

Interpreting Wright Giemsa stained smears requires a thorough understanding of the staining properties and the morphology of different blood cell types. The following table provides a summary of the staining characteristics of various blood cells:

Cell Type Nucleus Staining Cytoplasm Staining Granules
Neutrophils Dark blue/purple Light pink Purple granules
Eosinophils Dark blue/purple Light pink Red-orange granules
Basophils Dark blue/purple Light pink Dark blue granules
Lymphocytes Dark blue/purple Light blue None
Monocytes Dark blue/purple Light blue Fine blue granules

When examining a Wright Giemsa stained smear, it is important to look for any abnormalities in the morphology and distribution of blood cells. For example, the presence of immature or abnormal cells may indicate a hematological disorder, while the presence of parasites or bacteria may indicate an infection.

Additionally, the staining pattern of the cytoplasm and granules can provide valuable information about the function and health of the cells. For instance, the presence of toxic granules in neutrophils may indicate a bacterial infection, while the presence of hypersegmented neutrophils may indicate a vitamin B12 or folate deficiency.

Advantages and Limitations of the Wright Giemsa Stain

The Wright Giemsa Stain offers several advantages that make it a preferred method for hematological examinations. Some of the key advantages include:

  • Clear differentiation of blood cell types: The stain provides a clear and detailed view of different blood cell types, making it easier to identify and count them.
  • Versatility: The stain can be used to identify a wide range of microorganisms, including parasites and bacteria, in addition to blood cells.
  • Cost-effective: The Wright Giemsa Stain is relatively inexpensive and easy to prepare, making it accessible for laboratories with limited resources.
  • Reliability: The stain provides consistent and reliable results, making it a trusted method for diagnostic purposes.

However, the Wright Giemsa Stain also has some limitations that should be considered. Some of the key limitations include:

  • Subjectivity: The interpretation of Wright Giemsa stained smears can be subjective and may vary between different observers.
  • Time-consuming: The staining process can be time-consuming, especially when dealing with a large number of samples.
  • Limited sensitivity: The stain may not be sensitive enough to detect low levels of certain microorganisms or cellular abnormalities.

Despite these limitations, the Wright Giemsa Stain remains a valuable tool in hematology and microbiology, providing essential information for the diagnosis and treatment of various diseases.

In conclusion, the Wright Giemsa Stain is a versatile and reliable staining technique that plays a crucial role in hematology and microbiology. Its ability to differentiate between various blood cell types and identify microorganisms makes it an invaluable tool for diagnostic purposes. By understanding the components, preparation, and staining procedure of the Wright Giemsa Stain, as well as its applications and limitations, healthcare professionals can effectively utilize this method to improve patient outcomes. The stain’s rich history and continued relevance in modern medicine highlight its enduring significance in the field of diagnostic pathology.

Related Terms:

  • wright giemsa stain solution
  • wright giemsa stain composition
  • wright giemsa stain components
  • wright giemsa stain cpt code
  • wright giemsa stain protocol
  • wright stain procedure