Traumatic Bone Cyst

Traumatic Bone Cyst

Traumatic bone cysts are a fascinating and somewhat enigmatic condition in the field of oral and maxillofacial surgery. These cysts, also known as simple bone cysts or solitary bone cysts, are typically found in the jaws and are characterized by their empty, fluid-filled cavities. Understanding the nature, causes, symptoms, diagnosis, and treatment of traumatic bone cysts is crucial for healthcare professionals and patients alike.

Understanding Traumatic Bone Cysts

A Traumatic Bone Cyst is a benign, non-neoplastic lesion that occurs primarily in the jaws. Despite their name, these cysts are not always associated with trauma. They are more commonly found in the mandible (lower jaw) than in the maxilla (upper jaw) and are often discovered incidentally during routine dental examinations or radiographic evaluations.

Causes and Risk Factors

The exact cause of traumatic bone cysts remains unclear, but several theories have been proposed:

  • Trauma: As the name suggests, trauma to the jaw can lead to the formation of these cysts. However, many patients do not report a history of trauma.
  • Developmental Abnormalities: Some researchers believe that these cysts may result from developmental abnormalities in the bone.
  • Inflammatory Processes: Inflammation and infection in the jawbone can also contribute to the formation of traumatic bone cysts.

Risk factors for developing a traumatic bone cyst include:

  • Age: These cysts are more common in children and young adults.
  • Gender: Males are more frequently affected than females.
  • Location: The mandible, particularly the posterior region, is the most common site.

Symptoms and Diagnosis

Traumatic bone cysts are often asymptomatic, meaning they do not cause any symptoms. When symptoms do occur, they may include:

  • Swelling or a lump in the jaw
  • Pain or discomfort
  • Loosening of teeth
  • Numbness or tingling in the affected area

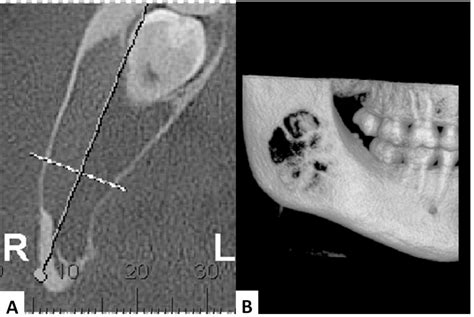
Diagnosis of a traumatic bone cyst typically involves a combination of clinical examination and radiographic imaging. Dental X-rays, such as periapical radiographs or panoramic radiographs, are commonly used to visualize the cyst. In some cases, a computed tomography (CT) scan or magnetic resonance imaging (MRI) may be recommended for a more detailed evaluation.

Treatment Options

The treatment of traumatic bone cysts depends on several factors, including the size and location of the cyst, the patient's age, and the presence of symptoms. Treatment options may include:

  • Observation: Small, asymptomatic cysts may be monitored with regular follow-up visits and radiographic examinations.
  • Curettage: This surgical procedure involves removing the cyst lining and any associated tissue. It is often performed under local anesthesia.
  • Bone Grafting: In some cases, bone grafting may be necessary to fill the defect left by the cyst and promote bone healing.
  • Endodontic Treatment: If the cyst is associated with a non-vital tooth, root canal treatment may be recommended to address the underlying infection.

It is important to note that the recurrence rate of traumatic bone cysts is relatively low, especially after surgical intervention. However, regular follow-up is essential to monitor for any signs of recurrence.

📌 Note: The choice of treatment should be individualized based on the patient's specific needs and the recommendations of the healthcare provider.

Differential Diagnosis

Differentiating a traumatic bone cyst from other jaw lesions is crucial for accurate diagnosis and appropriate management. Some conditions that may mimic a traumatic bone cyst include:

  • Odontogenic Keratocyst: This is a developmental cyst that arises from the dental lamina and has a higher recurrence rate.
  • Aneurysmal Bone Cyst: This is a benign, expansile lesion that can cause significant bone destruction and is more commonly found in the long bones.
  • Central Giant Cell Granuloma: This is a benign, aggressive lesion that can cause rapid bone destruction and is more common in females.

Radiographic features and clinical presentation can help differentiate these conditions from a traumatic bone cyst. In some cases, a biopsy may be necessary to confirm the diagnosis.

Radiographic Features

The radiographic appearance of a traumatic bone cyst can vary, but some common features include:

  • Well-defined Radiolucent Lesion: The cyst appears as a well-defined, radiolucent area on dental radiographs.
  • Scalloped Margins: The margins of the cyst may be scalloped, giving it a characteristic appearance.
  • Cortical Bone Expansion: In some cases, the cyst may cause expansion of the cortical bone.
  • No Internal Structures: Unlike other cysts, a traumatic bone cyst typically does not contain internal structures such as septa or calcifications.

Here is a table summarizing the radiographic features of a traumatic bone cyst:

Feature Description
Shape Well-defined, radiolucent
Margins Scalloped
Cortical Bone May be expanded
Internal Structures None

Histopathological Features

Histopathological examination of a traumatic bone cyst typically reveals a fibrous wall with no epithelial lining. The cyst cavity is often filled with fluid, and the surrounding bone may show signs of remodeling. The absence of an epithelial lining is a key feature that distinguishes a traumatic bone cyst from other odontogenic cysts.

Prognosis and Follow-Up

The prognosis for patients with a traumatic bone cyst is generally excellent. Most cysts resolve completely with appropriate treatment, and the recurrence rate is low. Regular follow-up is essential to monitor for any signs of recurrence or complications. Follow-up visits may include clinical examinations and radiographic evaluations to ensure complete healing and to detect any early signs of recurrence.

Patients should be educated about the importance of regular dental check-ups and maintaining good oral hygiene to prevent future dental issues. In some cases, lifestyle modifications, such as avoiding trauma to the jaw, may also be recommended.

📌 Note: Patients should be advised to seek immediate medical attention if they experience any new or worsening symptoms, such as pain, swelling, or numbness in the jaw.

Traumatic bone cysts are a relatively common but often misunderstood condition in the field of oral and maxillofacial surgery. Understanding their nature, causes, symptoms, diagnosis, and treatment is essential for healthcare professionals and patients alike. With appropriate management and regular follow-up, the prognosis for patients with a traumatic bone cyst is generally excellent. Early detection and intervention can help prevent complications and ensure complete healing.

Related Terms:

  • cyst caused by trauma
  • traumatic bone cyst mandible treatment
  • post traumatic soft tissue cyst
  • treatment of traumatic bone cyst
  • traumatic bone cyst differential diagnosis
  • traumatic bone cyst pathology outline