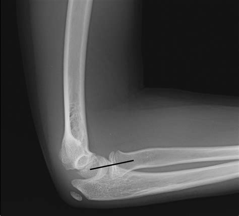
Nursemaid Elbow Xray

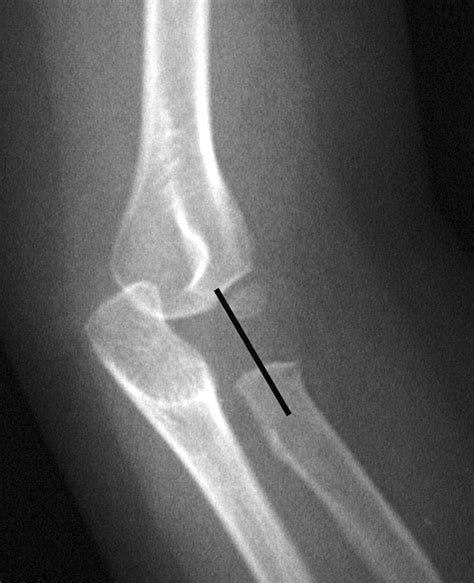
Nursemaid Elbow Xray

Nursemaid elbow, also known as radial head subluxation, is a common injury in young children, typically occurring between the ages of 1 and 4. This condition happens when the radius bone in the forearm slips out of its normal position at the elbow joint. Understanding the causes, symptoms, diagnosis, and treatment of nursemaid elbow is crucial for parents and caregivers to ensure prompt and appropriate care.

Understanding Nursemaid Elbow

Nursemaid elbow is a benign condition that results from a sudden pull or twist on the arm, often when a child is being lifted or swung by the hand or wrist. The injury causes the annular ligament, which holds the radius in place, to slip out of its normal position, leading to pain and limited movement in the elbow.

Causes of Nursemaid Elbow

Nursemaid elbow typically occurs due to:

  • Sudden pulling or twisting of the arm, such as when a child is being lifted or swung by the hand or wrist.
  • Falling onto an outstretched hand, which can also cause the radius to slip out of place.
  • Accidental tugging or jerking of the arm during play or other activities.

Symptoms of Nursemaid Elbow

The most common symptoms of nursemaid elbow include:

  • Sudden onset of pain in the elbow.
  • Refusal to use the affected arm.
  • Holding the arm in a slightly bent position.
  • Visible swelling or bruising around the elbow (though this is less common).

Children with nursemaid elbow may cry or become upset immediately after the injury occurs, but they may also appear calm and simply refuse to use the affected arm.

Diagnosing Nursemaid Elbow

Diagnosing nursemaid elbow typically involves a physical examination by a healthcare provider. The provider will assess the child's arm and elbow for signs of injury and may perform a gentle manipulation to confirm the diagnosis. In some cases, a Nursemaid Elbow Xray may be ordered to rule out other potential injuries, such as fractures or dislocations. However, X-rays are not always necessary for diagnosing nursemaid elbow, as the injury does not typically show up on imaging studies.

If a Nursemaid Elbow Xray is ordered, it is important to follow the healthcare provider's instructions for preparing the child for the procedure. This may include:

  • Explaining the procedure to the child in age-appropriate terms to help them understand what to expect.
  • Providing comfort and reassurance during the procedure to help the child feel more at ease.
  • Following any specific instructions provided by the healthcare provider, such as fasting or wearing comfortable clothing.

Treatment of Nursemaid Elbow

Treatment for nursemaid elbow typically involves a simple procedure called reduction, which can be performed by a healthcare provider. During this procedure, the provider will gently manipulate the child's arm to realign the radius bone and annular ligament. This usually results in immediate relief of pain and restoration of normal movement in the elbow.

In some cases, the reduction procedure may need to be repeated if the injury recurs. It is important to follow the healthcare provider's instructions for caring for the child's arm after the procedure, which may include:

  • Applying ice to the elbow to reduce any swelling or discomfort.
  • Keeping the arm elevated to help reduce swelling.
  • Encouraging the child to use the arm gently to promote healing.

It is also important to avoid activities that may cause the injury to recur, such as lifting or swinging the child by the hand or wrist.

Preventing Nursemaid Elbow

While nursemaid elbow is a common injury in young children, there are steps that parents and caregivers can take to help prevent it:

  • Avoid lifting or swinging the child by the hand or wrist.
  • Teach the child to hold onto your hand or wrist when being lifted or swung.
  • Supervise the child during play and other activities to prevent falls or other injuries.
  • Encourage the child to use both arms equally to promote strength and stability in the elbow joints.

By taking these precautions, parents and caregivers can help reduce the risk of nursemaid elbow and other injuries in young children.

📝 Note: If you suspect your child has nursemaid elbow, it is important to seek medical attention promptly to ensure proper diagnosis and treatment. Early intervention can help prevent complications and promote a full recovery.

Nursemaid elbow is a common injury in young children that can be easily treated with prompt medical attention. By understanding the causes, symptoms, and treatment of nursemaid elbow, parents and caregivers can take steps to prevent this injury and ensure their child's safety and well-being.

In some cases, nursemaid elbow may be mistaken for other injuries, such as fractures or dislocations. It is important to seek medical attention if your child experiences pain or limited movement in the elbow, even if you are not sure what caused the injury. A healthcare provider can perform a thorough evaluation and order a Nursemaid Elbow Xray if necessary to rule out other potential injuries.

If your child has a history of nursemaid elbow, it is important to be aware of the signs and symptoms of the injury and to seek medical attention promptly if they occur. Recurrent nursemaid elbow may require additional precautions or treatment to prevent future injuries.

In addition to seeking medical attention for nursemaid elbow, parents and caregivers can take steps to promote healing and prevent future injuries. This may include:

  • Encouraging the child to use the affected arm gently to promote healing.
  • Applying ice to the elbow to reduce any swelling or discomfort.
  • Keeping the arm elevated to help reduce swelling.
  • Avoiding activities that may cause the injury to recur, such as lifting or swinging the child by the hand or wrist.

By taking these steps, parents and caregivers can help ensure their child's safety and well-being and promote a full recovery from nursemaid elbow.

Nursemaid elbow is a common injury in young children that can be easily treated with prompt medical attention. By understanding the causes, symptoms, and treatment of nursemaid elbow, parents and caregivers can take steps to prevent this injury and ensure their child's safety and well-being.

In some cases, nursemaid elbow may be mistaken for other injuries, such as fractures or dislocations. It is important to seek medical attention if your child experiences pain or limited movement in the elbow, even if you are not sure what caused the injury. A healthcare provider can perform a thorough evaluation and order a Nursemaid Elbow Xray if necessary to rule out other potential injuries.

If your child has a history of nursemaid elbow, it is important to be aware of the signs and symptoms of the injury and to seek medical attention promptly if they occur. Recurrent nursemaid elbow may require additional precautions or treatment to prevent future injuries.

In addition to seeking medical attention for nursemaid elbow, parents and caregivers can take steps to promote healing and prevent future injuries. This may include:

  • Encouraging the child to use the affected arm gently to promote healing.
  • Applying ice to the elbow to reduce any swelling or discomfort.
  • Keeping the arm elevated to help reduce swelling.
  • Avoiding activities that may cause the injury to recur, such as lifting or swinging the child by the hand or wrist.

By taking these steps, parents and caregivers can help ensure their child's safety and well-being and promote a full recovery from nursemaid elbow.

Nursemaid elbow is a common injury in young children that can be easily treated with prompt medical attention. By understanding the causes, symptoms, and treatment of nursemaid elbow, parents and caregivers can take steps to prevent this injury and ensure their child's safety and well-being.

In some cases, nursemaid elbow may be mistaken for other injuries, such as fractures or dislocations. It is important to seek medical attention if your child experiences pain or limited movement in the elbow, even if you are not sure what caused the injury. A healthcare provider can perform a thorough evaluation and order a Nursemaid Elbow Xray if necessary to rule out other potential injuries.

If your child has a history of nursemaid elbow, it is important to be aware of the signs and symptoms of the injury and to seek medical attention promptly if they occur. Recurrent nursemaid elbow may require additional precautions or treatment to prevent future injuries.

In addition to seeking medical attention for nursemaid elbow, parents and caregivers can take steps to promote healing and prevent future injuries. This may include:

  • Encouraging the child to use the affected arm gently to promote healing.
  • Applying ice to the elbow to reduce any swelling or discomfort.
  • Keeping the arm elevated to help reduce swelling.
  • Avoiding activities that may cause the injury to recur, such as lifting or swinging the child by the hand or wrist.

By taking these steps, parents and caregivers can help ensure their child's safety and well-being and promote a full recovery from nursemaid elbow.

Nursemaid elbow is a common injury in young children that can be easily treated with prompt medical attention. By understanding the causes, symptoms, and treatment of nursemaid elbow, parents and caregivers can take steps to prevent this injury and ensure their child's safety and well-being.

In some cases, nursemaid elbow may be mistaken for other injuries, such as fractures or dislocations. It is important to seek medical attention if your child experiences pain or limited movement in the elbow, even if you are not sure what caused the injury. A healthcare provider can perform a thorough evaluation and order a Nursemaid Elbow Xray if necessary to rule out other potential injuries.

If your child has a history of nursemaid elbow, it is important to be aware of the signs and symptoms of the injury and to seek medical attention promptly if they occur. Recurrent nursemaid elbow may require additional precautions or treatment to prevent future injuries.

In addition to seeking medical attention for nursemaid elbow, parents and caregivers can take steps to promote healing and prevent future injuries. This may include:

  • Encouraging the child to use the affected arm gently to promote healing.
  • Applying ice to the elbow to reduce any swelling or discomfort.
  • Keeping the arm elevated to help reduce swelling.
  • Avoiding activities that may cause the injury to recur, such as lifting or swinging the child by the hand or wrist.

By taking these steps, parents and caregivers can help ensure their child's safety and well-being and promote a full recovery from nursemaid elbow.

Nursemaid elbow is a common injury in young children that can be easily treated with prompt medical attention. By understanding the causes, symptoms, and treatment of nursemaid elbow, parents and caregivers can take steps to prevent this injury and ensure their child's safety and well-being.

In some cases, nursemaid elbow may be mistaken for other injuries, such as fractures or dislocations. It is important to seek medical attention if your child experiences pain or limited movement in the elbow, even if you are not sure what caused the injury. A healthcare provider can perform a thorough evaluation and order a Nursemaid Elbow Xray if necessary to rule out other potential injuries.

If your child has a history of nursemaid elbow, it is important to be aware of the signs and symptoms of the injury and to seek medical attention promptly if they occur. Recurrent nursemaid elbow may require additional precautions or treatment to prevent future injuries.

In addition to seeking medical attention for nursemaid elbow, parents and caregivers can take steps to promote healing and prevent future injuries. This may include:

  • Encouraging the child to use the affected arm gently to promote healing.
  • Applying ice to the elbow to reduce any swelling or discomfort.
  • Keeping the arm elevated to help reduce swelling.
  • Avoiding activities that may cause the injury to recur, such as lifting or swinging the child by the hand or wrist.

By taking these steps, parents and caregivers can help ensure their child's safety and well-being and promote a full recovery from nursemaid elbow.

Nursemaid elbow is a common injury in young children that can be easily treated with prompt medical attention. By understanding the causes, symptoms, and treatment of nursemaid elbow, parents and caregivers can take steps to prevent this injury and ensure their child's safety and well-being.

In some cases, nursemaid elbow may be mistaken for other injuries, such as fractures or dislocations. It is important to seek medical attention if your child experiences pain or limited movement in the elbow, even if you are not sure what caused the injury. A healthcare provider can perform a thorough evaluation and order a Nursemaid Elbow Xray if necessary to rule out other potential injuries.

If your child has a history of nursemaid elbow, it is important to be aware of the signs and symptoms of the injury and to seek medical attention promptly if they occur. Recurrent nursemaid elbow may require additional precautions or treatment to prevent future injuries.

In addition to seeking medical attention for nursemaid elbow, parents and caregivers can take steps to promote healing and prevent future injuries. This may include:

  • Encouraging the child to use the affected arm gently to promote healing.
  • Applying ice to the elbow to reduce any swelling or discomfort.
  • Keeping the arm elevated to help reduce swelling.
  • Avoiding activities that may cause the injury to recur, such as lifting or swinging the child by the hand or wrist.

By taking these steps, parents and caregivers can help ensure their child's safety and well-being and promote a full recovery from nursemaid elbow.

Nursemaid elbow is a common injury in young children that can be easily treated with prompt medical attention. By understanding the causes, symptoms, and treatment of nursemaid elbow, parents and caregivers can take steps to prevent this injury and ensure their child's safety and well-being.

In some cases, nursemaid elbow may be mistaken for other injuries, such as fractures or dislocations. It is important to seek medical attention if your child experiences pain or limited movement in the elbow, even if you are not sure what caused the injury. A healthcare provider can perform a thorough evaluation and order a Nursemaid Elbow Xray if necessary to rule out other potential injuries.

If your child has a history of nursemaid elbow, it is important to be aware of the signs and symptoms of the injury and to seek medical attention promptly if they occur. Recurrent nursemaid elbow may require additional precautions or treatment to prevent future injuries.

In addition to seeking medical attention for nursemaid elbow, parents and caregivers can take steps to promote healing and prevent future injuries. This may include:

  • Encouraging the child to use the affected arm gently to promote healing.
  • Applying ice to the elbow to reduce any swelling or discomfort.
  • Keeping the arm elevated to help reduce swelling.
  • Avoiding activities that may cause the injury to recur, such as lifting or swinging the child by the hand or wrist.

By taking these steps, parents and caregivers can help ensure their child's safety and well-being and promote a full recovery from nursemaid elbow.

Nursemaid elbow is a common injury in young children that can be easily treated with prompt medical attention. By understanding the causes, symptoms, and treatment of nursemaid elbow, parents and caregivers can take steps to prevent this injury and ensure their child's safety and well-being.

In some cases, nursemaid elbow may be mistaken for other injuries, such as fractures or dislocations. It is important to seek medical attention if your child experiences pain or limited movement in the elbow, even if you are not sure what caused the injury. A healthcare provider can perform a thorough evaluation and order a Nursemaid Elbow Xray if necessary to rule out other potential injuries.

If your child has a history of nursemaid elbow, it is important to be aware of the signs and symptoms of the injury and to seek medical attention promptly if they occur. Recurrent nursemaid elbow may require additional precautions or treatment to prevent future injuries.

In addition to seeking medical attention for nursemaid elbow, parents and caregivers can take steps to promote healing and prevent future injuries. This may include:

  • Encouraging the child to use the affected arm gently to promote healing.
  • Applying ice to the elbow to reduce any swelling or discomfort.
  • Keeping the arm elevated to help reduce swelling.
  • Avoiding activities that may cause the injury to recur, such as lifting or swinging the child by the hand or wrist.

By taking these steps, parents and caregivers can help ensure their child's safety and well-being and promote a full recovery from nursemaid elbow.

Nursemaid elbow is a common injury in young children that can be easily treated with prompt medical attention. By understanding the causes, symptoms, and treatment of nursemaid elbow, parents and caregivers can take steps to prevent this injury and ensure their child's safety and well-being.

In some cases, nursemaid elbow may be mistaken for other injuries, such as fractures or dislocations. It is important to seek medical attention if your child experiences pain or limited movement in the elbow, even if you are not sure what caused the injury. A healthcare provider can perform a thorough evaluation and order a Nursemaid Elbow Xray if necessary to rule out other potential injuries.

If your child has a history of nursemaid elbow, it is important to be aware of the signs and symptoms of the injury and to seek medical attention promptly if they occur. Recurrent nursemaid elbow may require additional precautions or treatment to prevent future injuries.

In addition to seeking medical attention for nursemaid elbow, parents and caregivers can take steps to promote healing and prevent future injuries. This may include:

  • Encouraging the child to use the affected arm gently to promote healing.
  • Applying ice to the elbow to reduce any swelling or discomfort.
  • Keeping the arm elevated to help reduce swelling.
  • Avoiding activities that may cause the injury to recur, such as lifting or swinging the child by the hand or wrist.

Related Terms:

  • radial head subluxation
  • hyperpronation for nursemaid elbow
  • nursemaid elbow reduction
  • is nursemaid's elbow a dislocation
  • can nursemaid elbow correct itself
  • how to reduce nursemaid elbow