Normal Mammogram Images

Normal Mammogram Images

Breast cancer is a significant health concern for women worldwide, and early detection through mammography plays a crucial role in improving outcomes. Mammography involves using low-energy X-rays to examine the breast tissue and detect any abnormalities. One of the key aspects of mammography is the interpretation of normal mammogram images. Understanding what constitutes a normal mammogram is essential for both healthcare providers and patients.

Understanding Mammography

Mammography is a specialized medical imaging technique used to detect breast cancer in its early stages. It involves compressing the breast tissue between two plates and taking X-ray images from different angles. These images are then analyzed by radiologists to identify any suspicious areas that may require further investigation.

There are two main types of mammograms:

  • Screening Mammograms: These are routine exams performed on women who do not have any symptoms of breast cancer. The goal is to detect cancer at an early stage when it is most treatable.
  • Diagnostic Mammograms: These are more detailed exams performed when a woman has symptoms such as a lump, pain, or nipple discharge. They may also be used to evaluate abnormal results from a screening mammogram.

What Are Normal Mammogram Images?

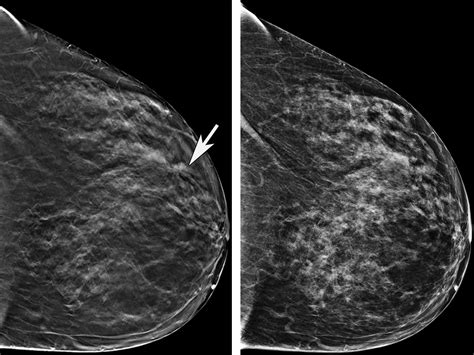
Normal mammogram images are those that do not show any signs of breast cancer or other abnormalities. These images typically display breast tissue that appears dense or fatty, with no masses, calcifications, or architectural distortions. Understanding the characteristics of normal mammogram images is crucial for radiologists to accurately interpret the results and distinguish them from abnormal findings.

Normal mammogram images can vary depending on the individual's breast tissue density. Breast tissue density is categorized into four types:

Category Description
Almost entirely fatty The breasts are mostly composed of fatty tissue, making it easier to detect abnormalities.
Scattered areas of fibroglandular density The breasts have some dense tissue and some fatty tissue, which can make detection slightly more challenging.
Heterogeneously dense The breasts have a significant amount of dense tissue, which can obscure small abnormalities.
Extremely dense The breasts are almost entirely composed of dense tissue, making it the most difficult to detect abnormalities.

Radiologists use the Breast Imaging Reporting and Data System (BI-RADS) to classify mammogram results. A BI-RADS category of 1 or 2 indicates a normal mammogram. Here is a brief overview of these categories:

  • BI-RADS 1: Negative. No significant findings.
  • BI-RADS 2: Benign findings. Non-cancerous abnormalities that do not require further investigation.

Interpreting Normal Mammogram Images

Interpreting normal mammogram images involves a systematic approach to ensure that no abnormalities are missed. Radiologists look for specific features that indicate normality:

  • Uniform Density: The breast tissue should appear uniform in density, with no areas of increased or decreased density.
  • No Masses: There should be no visible masses or lumps in the breast tissue.
  • No Calcifications: There should be no calcifications, which are small deposits of calcium that can sometimes indicate the presence of cancer.
  • No Architectural Distortions: The breast tissue should have a normal architecture, with no distortions or pulling of the tissue.

Radiologists also compare current mammogram images with previous ones to detect any changes over time. This comparison helps identify subtle abnormalities that may not be apparent in a single exam.

In some cases, additional imaging techniques may be used to further evaluate normal mammogram images. These techniques include:

  • Ultrasound: Used to differentiate between solid masses and cysts.
  • Magnetic Resonance Imaging (MRI): Provides detailed images of the breast tissue and is often used for women at high risk of breast cancer.

Importance of Regular Mammograms

Regular mammograms are essential for early detection of breast cancer. The American Cancer Society recommends that women aged 40 to 44 have the choice to start annual breast cancer screening with mammograms. Women aged 45 to 54 should get mammograms every year. Women 55 and older can switch to mammograms every 2 years, or can continue yearly screening.

Early detection through mammography significantly improves the chances of successful treatment and survival. Women should discuss their individual risk factors and screening recommendations with their healthcare providers.

It is important to note that mammograms are not perfect and can sometimes miss cancer (false negatives) or indicate cancer when there is none (false positives). However, the benefits of regular mammograms far outweigh the risks.

📌 Note: Women with a family history of breast cancer or other risk factors may need to start screening earlier or have more frequent exams.

Factors Affecting Mammogram Results

Several factors can affect the results of a mammogram and the interpretation of normal mammogram images. These factors include:

  • Breast Tissue Density: Dense breast tissue can make it more difficult to detect abnormalities on a mammogram.
  • Menstrual Cycle: Hormonal changes during the menstrual cycle can affect breast tissue density and the appearance of mammogram images.
  • Previous Breast Surgery: Scarring from previous breast surgery can sometimes be mistaken for abnormalities on a mammogram.
  • Breast Implants: Women with breast implants may require special techniques to ensure that the entire breast tissue is visualized.

Radiologists take these factors into account when interpreting mammogram images and may recommend additional imaging or follow-up exams if necessary.

Benefits of Digital Mammography

Digital mammography is a more advanced form of mammography that uses digital detectors to capture images. These images can be enhanced and manipulated on a computer, allowing for more detailed analysis. Digital mammography offers several benefits over traditional film mammography:

  • Improved Image Quality: Digital mammography provides clearer and more detailed images, making it easier to detect abnormalities.
  • Reduced Radiation Exposure: Digital mammography uses lower doses of radiation compared to traditional film mammography.
  • Faster Results: Digital images can be transmitted electronically, allowing for faster interpretation and results.
  • Enhanced Storage and Retrieval: Digital images can be stored electronically, making it easier to retrieve and compare previous exams.

Digital mammography is particularly beneficial for women with dense breast tissue, as it can provide better visualization of the breast tissue and improve the detection of abnormalities.

In addition to digital mammography, other advanced imaging techniques are being developed to further enhance the detection of breast cancer. These techniques include:

  • 3D Mammography (Tomosynthesis): This technique takes multiple images from different angles and reconstructs them into a 3D image, providing a more detailed view of the breast tissue.
  • Contrast-Enhanced Mammography: This technique involves injecting a contrast agent into the bloodstream to highlight areas of increased blood flow, which can indicate the presence of cancer.

Challenges in Interpreting Normal Mammogram Images

While mammography is a powerful tool for early detection of breast cancer, interpreting normal mammogram images can be challenging. Some of the challenges include:

  • Breast Tissue Density: Dense breast tissue can obscure small abnormalities, making them more difficult to detect.
  • Overlapping Tissue: Overlapping breast tissue can create the appearance of abnormalities, leading to false positives.
  • Variability in Breast Tissue: The appearance of breast tissue can vary significantly from one woman to another, making it difficult to establish a standard for normality.

Radiologists must be highly trained and experienced to accurately interpret mammogram images and distinguish between normal and abnormal findings. They use a combination of visual inspection, pattern recognition, and advanced imaging techniques to ensure accurate diagnosis.

In some cases, additional imaging or follow-up exams may be recommended to further evaluate suspicious areas. These exams may include ultrasound, MRI, or biopsy. It is important for women to follow up on any recommendations from their healthcare providers to ensure accurate diagnosis and timely treatment.

In conclusion, understanding normal mammogram images is crucial for early detection of breast cancer and improving patient outcomes. Regular mammograms, along with advanced imaging techniques, play a vital role in identifying abnormalities and ensuring timely intervention. Women should discuss their individual risk factors and screening recommendations with their healthcare providers to develop a personalized screening plan. By staying informed and proactive, women can take control of their breast health and reduce their risk of breast cancer.

Related Terms:

  • white spot on breast mammogram
  • mammogram vs ultrasound breast
  • is a mammogram an ultrasound
  • mammogram showing breast cancer image
  • mammogram vs ultrasound
  • are ultrasounds better than mammograms