Mitral Stenosis Echo

Mitral Stenosis Echo

Mitral stenosis is a heart condition characterized by the narrowing of the mitral valve, which controls blood flow between the left atrium and left ventricle. This narrowing can significantly impair the heart's ability to pump blood efficiently, leading to various symptoms and complications. One of the most crucial diagnostic tools for assessing mitral stenosis is the echocardiogram, commonly known as an *echo*. This non-invasive procedure uses ultrasound waves to create detailed images of the heart, providing valuable insights into the structure and function of the mitral valve. Understanding the role of a *mitral stenosis echo* is essential for both healthcare providers and patients.

Understanding Mitral Stenosis

Mitral stenosis occurs when the mitral valve becomes narrowed, restricting blood flow from the left atrium to the left ventricle. This condition is often caused by rheumatic fever, a complication of untreated strep throat, which can lead to scarring and thickening of the valve. Other causes include congenital heart defects, calcification of the valve, and, in rare cases, infections or tumors.

Symptoms of mitral stenosis can vary widely depending on the severity of the narrowing. Common symptoms include:

  • Shortness of breath, especially during physical activity
  • Fatigue
  • Chest pain
  • Irregular heartbeat (arrhythmia)
  • Swelling in the legs or abdomen
  • Coughing up blood (hemoptysis)

If left untreated, mitral stenosis can lead to serious complications, including heart failure, blood clots, and pulmonary hypertension.

The Role of Echocardiogram in Diagnosing Mitral Stenosis

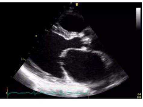
An echocardiogram, or *echo*, is a non-invasive diagnostic test that uses high-frequency sound waves to produce images of the heart. This procedure is invaluable in diagnosing and monitoring mitral stenosis. During a *mitral stenosis echo*, the ultrasound waves bounce off the heart's structures, creating detailed images that can be analyzed by a cardiologist.

There are several types of echocardiograms, each providing different levels of detail:

  • Transthoracic Echocardiogram (TTE): This is the most common type, where the ultrasound probe is placed on the chest to capture images of the heart.
  • Transesophageal Echocardiogram (TEE): In this procedure, the ultrasound probe is inserted down the throat and into the esophagus, providing clearer images of the heart's structures, especially the mitral valve.
  • Stress Echocardiogram: This involves performing an echocardiogram before and after the heart is stressed, either through exercise or medication, to assess how the heart responds to increased demand.

Interpreting Mitral Stenosis Echo Results

When interpreting the results of a *mitral stenosis echo*, cardiologists look for several key indicators:

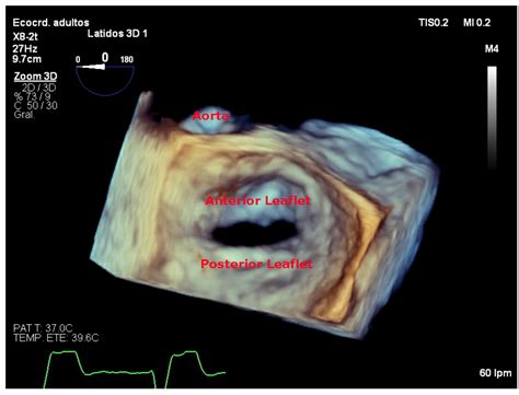
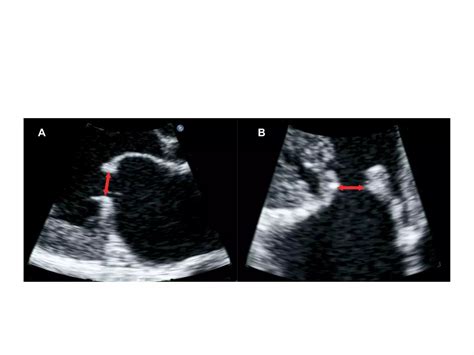
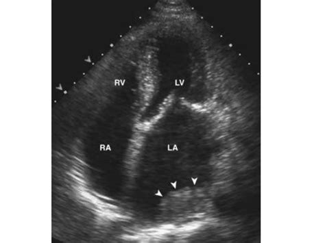
Valve Morphology: The shape and structure of the mitral valve are examined to determine the extent of narrowing and any signs of calcification or thickening.

Valve Area: The area of the mitral valve opening is measured. A normal valve area is typically around 4-6 cm². In mitral stenosis, this area is significantly reduced, often to less than 2 cm².

Pressure Gradient: The pressure difference between the left atrium and left ventricle is measured. A higher gradient indicates more severe stenosis.

Flow Velocity: The speed of blood flow through the mitral valve is assessed. Higher velocities suggest more severe narrowing.

Left Atrial Size: The size of the left atrium is evaluated. In mitral stenosis, the left atrium often enlarges due to the increased pressure.

Pulmonary Artery Pressure: Elevated pulmonary artery pressure can indicate the presence of pulmonary hypertension, a common complication of mitral stenosis.

Treatment Options for Mitral Stenosis

Treatment for mitral stenosis depends on the severity of the condition and the presence of symptoms. Options range from medication to surgical interventions:

Medications: Drugs such as diuretics, beta-blockers, and anticoagulants may be prescribed to manage symptoms and prevent complications. Diuretics help reduce fluid retention, beta-blockers slow the heart rate, and anticoagulants prevent blood clots.

Balloon Valvuloplasty: This is a minimally invasive procedure where a balloon-tipped catheter is inserted into the heart to widen the narrowed mitral valve. It is often used in patients with moderate to severe stenosis who are not suitable for surgery.

Valve Replacement: In severe cases, surgical replacement of the mitral valve may be necessary. This can be done through open-heart surgery or, in some cases, through minimally invasive techniques.

Living with Mitral Stenosis

Living with mitral stenosis requires ongoing management and regular monitoring. Patients should work closely with their healthcare providers to develop a personalized treatment plan. Key aspects of managing mitral stenosis include:

Regular Check-ups: Regular echocardiograms and other diagnostic tests are essential to monitor the progression of the condition and adjust treatment as needed.

Lifestyle Modifications: Maintaining a healthy lifestyle, including a balanced diet, regular exercise, and avoiding smoking, can help manage symptoms and improve overall heart health.

Medication Adherence: Taking prescribed medications as directed is crucial for managing symptoms and preventing complications.

Education and Support: Understanding the condition and seeking support from healthcare providers, family, and support groups can help patients cope with the challenges of living with mitral stenosis.

Mitral stenosis is a complex condition that requires careful management and monitoring. A *mitral stenosis echo* is a critical tool in diagnosing and managing this condition, providing valuable insights into the structure and function of the mitral valve. By understanding the role of this diagnostic test and working closely with healthcare providers, patients can effectively manage mitral stenosis and improve their quality of life.

📝 Note: Always consult with a healthcare provider for personalized advice and treatment options related to mitral stenosis.

Mitral stenosis is a condition that requires ongoing attention and care. Regular monitoring through mitral stenosis echo and adherence to treatment plans are essential for managing symptoms and preventing complications. By staying informed and working closely with healthcare providers, patients can effectively navigate the challenges of living with mitral stenosis and maintain a good quality of life.

Related Terms:

  • mitral stenosis echo guidelines
  • mitral stenosis doppler echocardiography
  • mitral stenosis echo severity
  • mitral stenosis mean gradient
  • mitral stenosis ase
  • mitral stenosis echo criteria