Mcl Tear Mri

Mcl Tear Mri

Understanding the intricacies of an *Mcl Tear Mri* is crucial for anyone dealing with knee injuries. The medial collateral ligament (MCL) is a vital structure that provides stability to the knee joint. An MCL tear can occur due to various reasons, including sports injuries, falls, or sudden twisting motions. Diagnosing an MCL tear accurately is essential for effective treatment and recovery. This blog post will delve into the details of an *Mcl Tear Mri*, its significance, the diagnostic process, and the treatment options available.

Understanding the Medial Collateral Ligament (MCL)

The MCL is one of the four major ligaments in the knee, located on the inner side of the joint. It connects the thighbone (femur) to the shinbone (tibia) and helps stabilize the knee during movements. The MCL is particularly susceptible to injuries that involve a direct blow to the outer side of the knee or sudden twisting motions. Such injuries can cause the ligament to stretch or tear, leading to pain, swelling, and instability.

Symptoms of an MCL Tear

Recognizing the symptoms of an MCL tear is the first step in seeking appropriate medical attention. Common symptoms include:

  • Pain and tenderness along the inner side of the knee
  • Swelling and bruising
  • A feeling of instability or “giving way” in the knee
  • Difficulty bearing weight on the affected leg
  • Limited range of motion

These symptoms can vary in severity depending on the grade of the tear. An Mcl Tear Mri is often recommended to confirm the diagnosis and assess the extent of the injury.

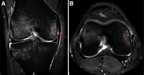
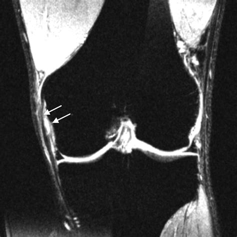
Diagnosing an MCL Tear with an MRI

An Mcl Tear Mri is a non-invasive imaging technique that provides detailed images of the knee joint. MRI uses magnetic fields and radio waves to create cross-sectional images of the body’s internal structures. This allows healthcare professionals to visualize the MCL and other soft tissues in the knee, identifying any tears or damage.

During an *Mcl Tear Mri*, the patient lies on a table that slides into a large, cylindrical machine. The procedure is painless and typically takes about 30-60 minutes. The MRI machine captures multiple images from different angles, providing a comprehensive view of the knee joint.

An *Mcl Tear Mri* can help determine the grade of the MCL tear, which is classified as follows:

Grade Description
Grade I Mild tear with minimal damage to the ligament fibers. The knee remains stable.
Grade II Partial tear with more significant damage to the ligament fibers. The knee may feel unstable.
Grade III Complete tear with severe damage to the ligament fibers. The knee is unstable and may require surgical intervention.

An *Mcl Tear Mri* is particularly useful for differentiating between an MCL tear and other knee injuries, such as meniscal tears or anterior cruciate ligament (ACL) injuries. This information is crucial for developing an appropriate treatment plan.

📝 Note: While an *Mcl Tear Mri* is highly accurate, it is essential to consult with a healthcare professional for a comprehensive evaluation and diagnosis.

Treatment Options for an MCL Tear

The treatment for an MCL tear depends on the severity of the injury and the patient’s overall health. For mild to moderate tears (Grade I and II), conservative treatment options are often sufficient. These may include:

  • Rest, ice, compression, and elevation (RICE) to reduce pain and swelling
  • Pain medication and anti-inflammatory drugs
  • Physical therapy to strengthen the knee and improve range of motion
  • Bracing or taping to provide additional support and stability

For severe tears (Grade III), surgical intervention may be necessary. Surgery involves repairing or reconstructing the damaged ligament to restore stability to the knee. The specific surgical technique will depend on the extent of the injury and the patient’s individual needs.

Post-operative care is crucial for a successful recovery. This may include:

  • Physical therapy to regain strength and flexibility
  • Gradual return to activities, with a focus on avoiding high-impact movements
  • Regular follow-up appointments to monitor progress

Preventing MCL Tears

While not all MCL tears can be prevented, there are several strategies that can help reduce the risk of injury. These include:

  • Warming up before physical activity to prepare the muscles and ligaments
  • Using proper technique during sports and exercises
  • Wearing appropriate protective gear, such as knee braces or pads
  • Strengthening the muscles around the knee through regular exercise
  • Maintaining a healthy weight to reduce stress on the joints

By incorporating these preventive measures into your routine, you can help minimize the risk of an MCL tear and other knee injuries.

An *Mcl Tear Mri* is a valuable tool for diagnosing and managing MCL injuries. By providing detailed images of the knee joint, MRI helps healthcare professionals determine the extent of the injury and develop an appropriate treatment plan. Whether you opt for conservative treatment or surgical intervention, understanding the role of an *Mcl Tear Mri* in the diagnostic process is essential for a successful recovery.

In summary, an Mcl Tear Mri plays a crucial role in diagnosing and managing MCL injuries. By providing detailed images of the knee joint, MRI helps healthcare professionals determine the extent of the injury and develop an appropriate treatment plan. Whether you opt for conservative treatment or surgical intervention, understanding the role of an Mcl Tear Mri in the diagnostic process is essential for a successful recovery. Preventive measures can also help reduce the risk of MCL tears and other knee injuries, ensuring long-term knee health and stability.

Related Terms:

  • grade 2 mcl tear mri
  • mcl tear mri image
  • periligamentous edema mcl
  • grade 1 mcl tear
  • superficial vs deep mcl
  • mcl partial tear mri