Lump On Tibia Bone

Lump On Tibia Bone

Discovering a lump on your tibia bone can be alarming, but it's important to approach this situation with a clear understanding of the potential causes and appropriate steps to take. This blog post aims to provide comprehensive information on lumps on the tibia bone, including their causes, symptoms, diagnosis, and treatment options.

Understanding the Tibia Bone

The tibia, commonly known as the shinbone, is the larger of the two bones in the lower leg. It plays a crucial role in supporting the body’s weight and facilitating movement. The tibia is connected to the knee joint at the top and the ankle joint at the bottom, making it a vital component of the leg’s structure and function.

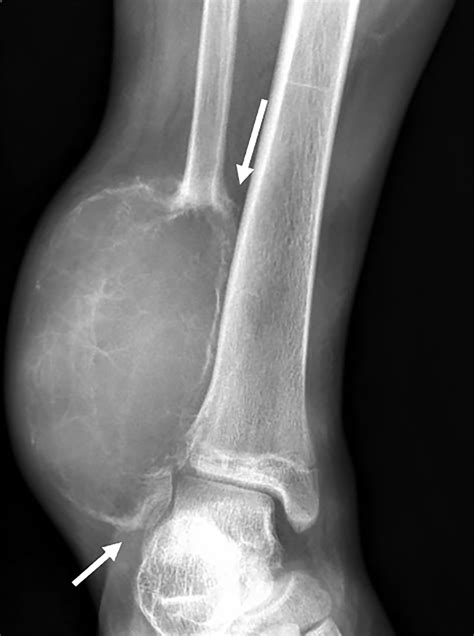
Common Causes of a Lump on the Tibia Bone

A lump on the tibia bone can result from various conditions, ranging from benign to more serious issues. Some of the most common causes include:

  • Bone Tumors: These can be either benign (non-cancerous) or malignant (cancerous). Benign tumors, such as osteochondromas or enchondromas, are generally harmless but can cause discomfort or affect mobility. Malignant tumors, like osteosarcoma, are more serious and require immediate medical attention.
  • Fractures: A fracture in the tibia can sometimes result in a visible or palpable lump, especially if the bone fragments are displaced.
  • Infections: Bone infections, such as osteomyelitis, can cause swelling and the formation of lumps. These infections are often accompanied by pain, redness, and warmth in the affected area.
  • Cysts
  • : Bone cysts, such as aneurysmal bone cysts, can develop within the tibia and appear as lumps. These cysts are usually benign but can cause pain and weaken the bone.
  • Trauma: Injuries to the tibia, such as contusions or hematomas, can result in the formation of lumps due to the accumulation of blood or fluid under the skin.

Symptoms Associated with a Lump on the Tibia Bone

The symptoms associated with a lump on the tibia bone can vary depending on the underlying cause. Common symptoms include:

  • Pain: Persistent or intermittent pain in the affected area.
  • Swelling: Inflammation and swelling around the lump.
  • Redness and Warmth: These symptoms are often indicative of an infection.
  • Limited Mobility: Difficulty moving the leg or bearing weight on the affected side.
  • Numbness or Tingling: In some cases, the lump may press on nerves, causing numbness or tingling sensations.

Diagnosing a Lump on the Tibia Bone

If you notice a lump on your tibia bone, it is essential to seek medical attention for a proper diagnosis. The diagnostic process typically involves several steps:

  • Medical History and Physical Examination: Your healthcare provider will ask about your symptoms, medical history, and any recent injuries or illnesses. They will also perform a physical examination to assess the lump and surrounding area.
  • Imaging Tests: Imaging tests, such as X-rays, CT scans, or MRI scans, can provide detailed images of the bone and surrounding tissues. These tests help identify the cause of the lump and determine its extent.
  • Blood Tests: Blood tests may be ordered to check for signs of infection or other underlying conditions.
  • Biopsy: In some cases, a biopsy may be necessary to obtain a sample of the lump for further analysis. This involves removing a small piece of tissue, which is then examined under a microscope to determine if it is benign or malignant.

Treatment Options for a Lump on the Tibia Bone

The treatment for a lump on the tibia bone depends on the underlying cause. Here are some common treatment options:

  • Observation: For benign lumps that are not causing any symptoms, your healthcare provider may recommend monitoring the lump over time to ensure it does not change or grow.
  • Medication: Antibiotics may be prescribed if the lump is due to an infection. Pain relievers and anti-inflammatory medications can help manage pain and swelling.
  • Surgery: Surgical intervention may be necessary to remove the lump, especially if it is malignant or causing significant discomfort. The type of surgery will depend on the size, location, and nature of the lump.
  • Physical Therapy: After surgery or in cases of trauma, physical therapy can help restore mobility and strength in the affected leg.

Preventive Measures for a Lump on the Tibia Bone

While not all lumps on the tibia bone can be prevented, there are several measures you can take to reduce the risk of developing certain conditions:

  • Maintain a Healthy Lifestyle: Regular exercise, a balanced diet, and adequate rest can help keep your bones strong and healthy.
  • Avoid Injuries: Wear appropriate protective gear during physical activities and sports to minimize the risk of trauma to the tibia.
  • Prompt Medical Attention: Seek medical attention promptly if you experience any symptoms that could indicate a lump on the tibia bone.

📌 Note: If you suspect you have a lump on your tibia bone, it is crucial to consult a healthcare professional for an accurate diagnosis and appropriate treatment.

In some cases, a lump on the tibia bone may be a sign of a more serious condition, such as a malignant tumor or infection. Early detection and treatment can significantly improve outcomes and prevent complications. Regular check-ups and maintaining a healthy lifestyle can also help in the early detection and prevention of such conditions.

If you experience persistent pain, swelling, or other symptoms associated with a lump on the tibia bone, do not hesitate to seek medical attention. Your healthcare provider can perform the necessary tests and provide a comprehensive treatment plan tailored to your specific needs.

Understanding the causes, symptoms, and treatment options for a lump on the tibia bone is essential for maintaining your overall health and well-being. By staying informed and taking proactive measures, you can effectively manage this condition and ensure a speedy recovery.

Related Terms:

  • painless lump on shin bone
  • moveable lump on shin bone
  • hard knot on shin bone
  • unexplained lump on shin bone
  • moving bumps on shin bone
  • hard lump on tibia bone