Labrum Detachment Shoulder

Labrum Detachment Shoulder

Shoulder pain is a common complaint that can significantly impact daily activities and quality of life. One of the less frequently discussed but equally important causes of shoulder pain is a labrum detachment shoulder. The labrum is a ring of cartilage that surrounds the shoulder socket, providing stability and cushioning. When this labrum detaches, it can lead to a range of symptoms and complications. Understanding the causes, symptoms, diagnosis, and treatment options for a labrum detachment shoulder is crucial for effective management and recovery.

Understanding the Shoulder Labrum

The shoulder joint is a complex structure that allows for a wide range of motion. The labrum plays a critical role in this joint by deepening the socket and providing a smooth surface for the ball of the upper arm bone to move against. The labrum can be thought of as a rubber gasket that helps keep the ball of the shoulder joint in place. When the labrum detaches, it can lead to instability and pain in the shoulder.

Causes of Labrum Detachment Shoulder

A labrum detachment shoulder can occur due to various reasons, including:

  • Traumatic Injuries: Sudden, forceful movements or impacts, such as those experienced in sports or accidents, can cause the labrum to tear or detach.
  • Repetitive Stress: Activities that involve repetitive overhead motions, such as swimming, tennis, or weightlifting, can lead to gradual wear and tear of the labrum.
  • Degenerative Conditions: Age-related degeneration or conditions like osteoarthritis can weaken the labrum, making it more susceptible to detachment.
  • Congenital Abnormalities: Some individuals may be born with a naturally shallow shoulder socket or other anatomical variations that increase the risk of labrum detachment.

Symptoms of Labrum Detachment Shoulder

The symptoms of a labrum detachment shoulder can vary depending on the severity and location of the detachment. Common symptoms include:

  • Pain: Persistent or intermittent pain in the shoulder, often worsened by movement or overhead activities.
  • Instability: A feeling of the shoulder joint slipping out of place or giving way.
  • Reduced Range of Motion: Difficulty moving the shoulder through its full range of motion.
  • Clicking or Popping Sensations: Audible or palpable clicking, popping, or grinding sensations in the shoulder joint.
  • Weakness: Decreased strength in the shoulder, making it difficult to perform daily activities.

Diagnosing Labrum Detachment Shoulder

Diagnosing a labrum detachment shoulder involves a combination of medical history, physical examination, and imaging tests. The diagnostic process typically includes:

  • Medical History: The healthcare provider will ask about the onset of symptoms, any recent injuries, and activities that exacerbate the pain.
  • Physical Examination: The provider will perform various tests to assess the range of motion, strength, and stability of the shoulder. Common tests include the O’Brien’s test, the crank test, and the apprehension test.
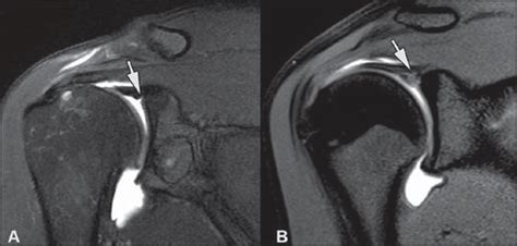
  • Imaging Tests: Imaging studies such as X-rays, MRI, or CT scans can provide detailed images of the shoulder joint and help identify the location and extent of the labrum detachment.

Treatment Options for Labrum Detachment Shoulder

The treatment for a labrum detachment shoulder depends on the severity of the injury, the patient’s age, activity level, and overall health. Treatment options can be broadly categorized into non-surgical and surgical approaches.

Non-Surgical Treatment

Non-surgical treatments are often the first line of defense and may include:

  • Rest and Activity Modification: Avoiding activities that aggravate the shoulder and allowing the joint to rest.
  • Ice and Heat Therapy: Applying ice to reduce inflammation and heat to promote blood flow and healing.
  • Pain Medication: Over-the-counter pain relievers such as ibuprofen or acetaminophen to manage pain and inflammation.
  • Physical Therapy: Exercises to strengthen the muscles around the shoulder, improve range of motion, and enhance stability.
  • Corticosteroid Injections: Injections to reduce inflammation and pain, although these are typically used sparingly due to potential side effects.

Surgical Treatment

In cases where non-surgical treatments are ineffective, surgery may be recommended. Surgical options include:

  • Arthroscopic Repair: A minimally invasive procedure where small incisions are made to insert a camera and surgical instruments. The detached labrum is reattached using sutures or anchors.
  • Open Surgery: A more invasive procedure that involves a larger incision to access and repair the labrum. This approach may be necessary for more complex injuries.

Recovery and Rehabilitation

Recovery from a labrum detachment shoulder, whether treated surgically or non-surgically, requires a structured rehabilitation program. The rehabilitation process typically includes:

  • Immediate Post-Operative Care: Managing pain and swelling, and protecting the shoulder with a sling or brace.
  • Range of Motion Exercises: Gentle exercises to gradually restore the shoulder’s range of motion.
  • Strengthening Exercises: Progressive exercises to build strength in the shoulder muscles and improve stability.
  • Functional Training: Activities that simulate daily tasks and sports-specific movements to prepare the shoulder for return to normal activities.

📝 Note: The duration of rehabilitation can vary depending on the severity of the injury and the individual's response to treatment. It is essential to follow the rehabilitation plan prescribed by the healthcare provider to ensure optimal recovery.

Preventing Labrum Detachment Shoulder

While not all cases of labrum detachment shoulder can be prevented, there are several strategies to reduce the risk:

  • Proper Warm-Up and Cool-Down: Always warm up before physical activities and cool down afterward to prepare the muscles and joints.
  • Strength Training: Incorporate exercises that strengthen the muscles around the shoulder, including the rotator cuff and scapular stabilizers.
  • Proper Technique: Use correct form and technique during sports and physical activities to minimize the risk of injury.
  • Gradual Progression: Gradually increase the intensity and duration of physical activities to allow the body to adapt.

When to Seek Medical Attention

If you experience persistent shoulder pain, instability, or a significant decrease in range of motion, it is important to seek medical attention. Early diagnosis and treatment can prevent further damage and improve outcomes. Additionally, if you have a history of shoulder injuries or engage in high-risk activities, regular check-ups with a healthcare provider can help monitor your shoulder health.

Labrum detachment shoulder is a condition that can significantly impact shoulder function and quality of life. Understanding the causes, symptoms, diagnosis, and treatment options is essential for effective management and recovery. Whether through non-surgical or surgical means, a structured rehabilitation program is crucial for restoring shoulder function and preventing future injuries. By taking proactive measures to strengthen the shoulder and use proper techniques, individuals can reduce the risk of labrum detachment and maintain optimal shoulder health.

Related Terms:

  • signs of torn labrum shoulder
  • where is shoulder labrum located
  • torn labrum shoulder treatment options
  • full labrum tear shoulder
  • shoulder pain from torn labrum
  • treatment for torn shoulder labrum