Jaw Bone Broken

Jaw Bone Broken

Facial injuries can be quite alarming, especially when they involve the jaw. A jaw bone broken can result from various causes, including sports accidents, falls, or even car crashes. Understanding the symptoms, causes, and treatment options for a broken jaw is crucial for prompt and effective management. This blog post will delve into the intricacies of a jaw bone broken, providing comprehensive information to help you recognize the signs and seek appropriate medical care.

Understanding the Jaw Bone

The jaw, or mandible, is the largest and strongest bone in the face. It plays a crucial role in functions such as chewing, speaking, and facial expressions. The jaw is connected to the skull by the temporomandibular joints (TMJ), which allow for the movement of the jaw. A jaw bone broken can disrupt these functions and cause significant discomfort and pain.

Causes of a Broken Jaw

A jaw bone broken can occur due to a variety of reasons. Some of the most common causes include:

  • Trauma: Direct impact to the jaw, such as from a punch, fall, or car accident, can result in a fracture.
  • Sports Injuries: Contact sports like boxing, football, and hockey have a higher risk of jaw injuries.
  • Falls: Accidental falls, especially in the elderly, can lead to facial injuries, including a broken jaw.
  • Motor Vehicle Accidents: The force of impact in a car crash can cause severe facial injuries.

Symptoms of a Broken Jaw

Recognizing the symptoms of a jaw bone broken is essential for seeking timely medical attention. Some of the common symptoms include:

  • Pain: Severe pain in the jaw area, which may worsen with movement.
  • Swelling: Visible swelling and bruising around the jaw and face.
  • Difficulty Moving the Jaw: Limited ability to open or close the mouth.
  • Misalignment: The teeth may not align properly when the mouth is closed.
  • Numbness: Numbness or tingling in the lower lip or chin.
  • Bleeding: Bleeding from the mouth or nose.

Diagnosing a Broken Jaw

If you suspect a jaw bone broken, it is crucial to seek medical attention immediately. The diagnosis typically involves several steps:

  • Physical Examination: The doctor will examine the jaw and face for signs of injury, such as swelling, bruising, and misalignment.
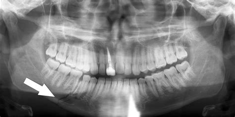
  • X-Rays: X-rays are commonly used to visualize the bone and identify fractures.
  • CT Scans: In more complex cases, a CT scan may be ordered to provide a detailed view of the jaw and surrounding structures.

Treatment Options for a Broken Jaw

The treatment for a jaw bone broken depends on the severity and location of the fracture. Common treatment options include:

  • Immobilization: The jaw may be immobilized using wires, elastic bands, or other devices to keep the teeth aligned and promote healing.
  • Surgery: In severe cases, surgery may be required to realign the bone fragments and stabilize the jaw. This may involve the use of plates, screws, or other hardware.
  • Medication: Pain relievers and antibiotics may be prescribed to manage pain and prevent infection.
  • Dietary Changes: A soft or liquid diet may be recommended to avoid putting pressure on the jaw while it heals.

Recovery and Rehabilitation

Recovery from a jaw bone broken can take several weeks to months, depending on the severity of the injury. During this time, it is essential to follow the doctor’s instructions for a smooth recovery. Some key points to consider include:

  • Follow-Up Appointments: Regular follow-up appointments with the doctor to monitor healing progress.
  • Oral Hygiene: Maintain good oral hygiene to prevent infection. This may involve using a special mouth rinse or gentle brushing techniques.
  • Physical Therapy: In some cases, physical therapy may be recommended to improve jaw mobility and strength.

📝 Note: It is important to avoid activities that could cause further injury to the jaw during the recovery period. This includes contact sports, heavy lifting, and other strenuous activities.

Complications of a Broken Jaw

While most cases of a jaw bone broken heal without complications, there are potential risks to be aware of. Some possible complications include:

  • Infection: Infection can occur if the fracture is not properly treated or if oral hygiene is not maintained.
  • Nerve Damage: Damage to the nerves in the jaw can result in numbness or tingling in the lower lip or chin.
  • Malunion or Nonunion: The bone may heal improperly, leading to misalignment or a nonunion, where the bone does not heal at all.
  • Temporomandibular Joint (TMJ) Problems: Injury to the jaw can affect the TMJ, leading to pain and difficulty moving the jaw.

Preventing Jaw Injuries

While it is not always possible to prevent a jaw bone broken, there are steps you can take to reduce the risk of facial injuries. Some preventive measures include:

  • Wear Protective Gear: Use appropriate protective gear, such as helmets and mouthguards, during sports and other activities.
  • Safety Measures: Take precautions to prevent falls, such as using non-slip mats and keeping walkways clear.
  • Seatbelts: Always wear a seatbelt while driving or riding in a vehicle.

Preventing jaw injuries involves a combination of awareness, protective measures, and safe practices. By taking these steps, you can significantly reduce the risk of a jaw bone broken and other facial injuries.

Jaw Bone Anatomy

When to Seek Emergency Care

In some cases, a jaw bone broken may require immediate medical attention. Seek emergency care if you experience any of the following symptoms:

  • Severe Pain: Intense pain that does not subside with over-the-counter pain relievers.
  • Difficulty Breathing: Difficulty breathing or swallowing due to swelling or misalignment.
  • Excessive Bleeding: Heavy bleeding from the mouth or nose that does not stop.
  • Loss of Consciousness: Loss of consciousness or confusion following the injury.

If you suspect a jaw bone broken, it is always better to err on the side of caution and seek medical attention promptly. Early intervention can prevent complications and promote faster healing.

Long-Term Effects of a Broken Jaw

A jaw bone broken can have long-term effects, depending on the severity of the injury and the effectiveness of treatment. Some potential long-term effects include:

  • Chronic Pain: Persistent pain in the jaw or face.
  • Limited Mobility: Reduced range of motion in the jaw.
  • Dental Issues: Problems with teeth alignment or function.
  • Scarring: Visible scarring or disfigurement.

Regular follow-up appointments with your healthcare provider can help monitor your progress and address any long-term effects that may arise.

Support and Resources

Dealing with a jaw bone broken can be challenging, both physically and emotionally. It is essential to seek support from healthcare providers, family, and friends during the recovery process. Additionally, there are resources available to help you cope with the injury and its effects. Some resources include:

  • Support Groups: Joining support groups for individuals with facial injuries can provide a sense of community and shared experiences.
  • Physical Therapy: Working with a physical therapist can help improve jaw mobility and strength.
  • Counseling: Seeking counseling or therapy can help address the emotional impact of the injury.

By utilizing these resources, you can enhance your recovery and improve your overall well-being.

Frequently Asked Questions

Here are some frequently asked questions about a jaw bone broken:

Question Answer
How long does it take for a broken jaw to heal? The healing time for a broken jaw can vary, but it typically takes 6 to 8 weeks for the bone to heal. Full recovery, including regaining normal jaw function, may take several months.
Can a broken jaw heal on its own? While some minor fractures may heal on their own with proper care, most broken jaws require medical intervention, such as immobilization or surgery, to ensure proper healing and alignment.
What should I eat after a broken jaw? A soft or liquid diet is recommended to avoid putting pressure on the jaw. Foods like soups, smoothies, and mashed potatoes are good options. Avoid hard, crunchy, or chewy foods.
Can I exercise with a broken jaw? It is generally recommended to avoid strenuous activities and contact sports during the recovery period. Light exercises that do not involve the jaw or face are usually safe.

If you have any specific questions or concerns about a jaw bone broken, it is best to consult with your healthcare provider for personalized advice.

In summary, a jaw bone broken is a serious injury that requires prompt medical attention. Understanding the causes, symptoms, and treatment options can help you recognize the signs and seek appropriate care. By following the recommended treatment plan and taking preventive measures, you can promote faster healing and reduce the risk of complications. Regular follow-up appointments and support from healthcare providers, family, and friends can also enhance your recovery and improve your overall well-being.

Related Terms:

  • recovery time for broken jaw
  • signs of a fractured jaw
  • how to fix broken jaw
  • broken jaw healing without surgery
  • broken jaw vs dislocated jaws
  • leaving broken jaw untreated