Humerus Bone Break

Humerus Bone Break

Understanding the intricacies of a *humerus bone break* is crucial for anyone involved in orthopedics, sports medicine, or even general healthcare. The humerus, the long bone in the upper arm, plays a pivotal role in the movement and stability of the arm. A break in this bone can significantly impact daily activities and require immediate medical attention. This post delves into the causes, symptoms, diagnosis, and treatment options for a humerus bone break, providing a comprehensive guide for both medical professionals and patients.

Understanding the Humerus Bone

The humerus is the longest bone in the arm, extending from the shoulder to the elbow. It is divided into three main parts: the proximal humerus (near the shoulder), the shaft (the long middle section), and the distal humerus (near the elbow). The humerus is essential for the arm’s range of motion and strength, making it a critical component of the upper limb.

Causes of a Humerus Bone Break

A humerus bone break can occur due to various reasons, including:

  • Trauma: Direct impact or blunt force trauma, such as from a fall, car accident, or sports injury, is a common cause.
  • Fractures: Stress fractures can occur from repetitive motions or overuse, often seen in athletes.
  • Osteoporosis: Weakened bones due to conditions like osteoporosis can increase the risk of fractures.

Symptoms of a Humerus Bone Break

Recognizing the symptoms of a humerus bone break is essential for prompt treatment. Common symptoms include:

  • Severe pain in the upper arm, especially when moving the arm.
  • Swelling and bruising around the affected area.
  • Deformity or visible misalignment of the arm.
  • Limited range of motion and difficulty using the arm.
  • Numbness or tingling in the arm or hand.

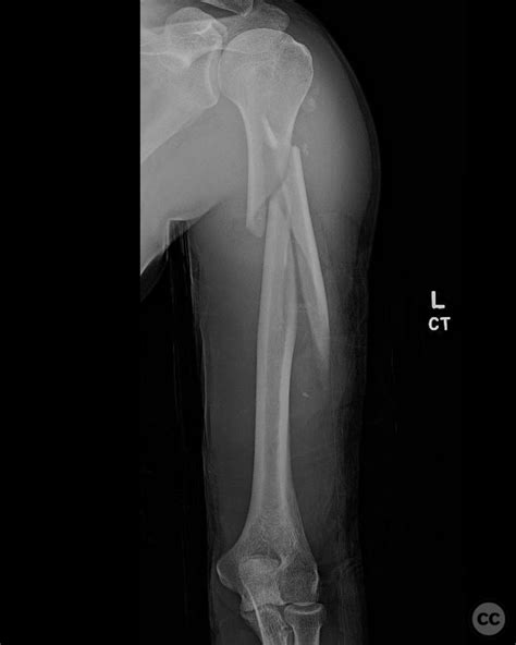
Diagnosing a Humerus Bone Break

Diagnosing a humerus bone break involves a combination of physical examination and imaging tests. The diagnostic process typically includes:

  • Physical Examination: A healthcare provider will assess the arm for pain, swelling, and deformity.
  • X-rays: Imaging tests such as X-rays are used to visualize the bone and determine the type and severity of the fracture.
  • CT Scans or MRIs: In some cases, more detailed imaging like CT scans or MRIs may be required to assess the extent of the injury.

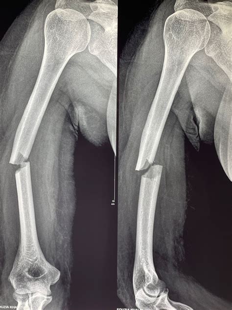
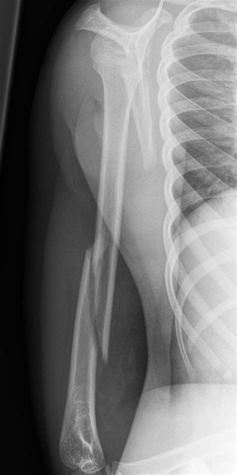
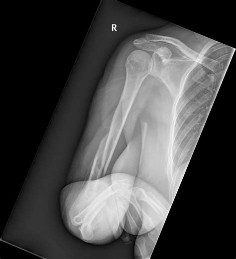
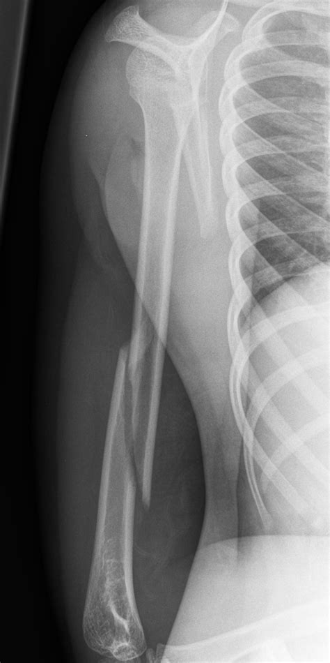
Types of Humerus Bone Breaks

Humerus bone breaks can be classified based on their location and pattern. Common types include:

Type of Fracture Description
Proximal Humerus Fracture Occurs near the shoulder joint, often involving the head or neck of the humerus.
Humeral Shaft Fracture Affects the middle section of the humerus, often due to direct trauma.
Distal Humerus Fracture Occurs near the elbow joint, often involving the condyles or epicondyles.
Supracondylar Fracture A specific type of distal humerus fracture that occurs just above the elbow joint.

📝 Note: The type of fracture can influence the treatment approach and recovery time.

Treatment Options for a Humerus Bone Break

The treatment for a humerus bone break depends on the type and severity of the fracture. Common treatment options include:

  • Non-Surgical Treatment: For less severe fractures, non-surgical methods such as immobilization with a sling or cast may be sufficient. This allows the bone to heal naturally over time.
  • Surgical Treatment: More complex fractures may require surgery to realign the bone and stabilize it with plates, screws, or rods. Surgical options include:
  • Open Reduction and Internal Fixation (ORIF): Involves surgically realigning the bone and using hardware to hold it in place.
  • Intramedullary Nailing: A metal rod is inserted into the marrow cavity of the bone to stabilize it.
  • External Fixation: Pins or screws are inserted into the bone and connected to an external frame to hold the bone in place.

Recovery and Rehabilitation

Recovery from a humerus bone break involves a combination of rest, immobilization, and rehabilitation. Key aspects of the recovery process include:

  • Immobilization: The arm may need to be immobilized in a sling or cast for several weeks to allow the bone to heal.
  • Pain Management: Medications such as pain relievers and anti-inflammatory drugs may be prescribed to manage pain and reduce swelling.
  • Physical Therapy: Once the bone has started to heal, physical therapy exercises can help restore range of motion, strength, and flexibility.

Physical therapy typically involves a series of exercises designed to:

  • Improve range of motion and flexibility.
  • Strengthen the muscles around the shoulder and elbow.
  • Restore normal function and prevent future injuries.

📝 Note: The duration of recovery can vary depending on the severity of the fracture and the individual's overall health.

Preventing Humerus Bone Breaks

While not all humerus bone breaks can be prevented, there are several steps that can reduce the risk:

  • Strength Training: Regular strength training exercises can help build strong bones and muscles, reducing the risk of fractures.
  • Fall Prevention: Taking precautions to prevent falls, such as using handrails and removing tripping hazards, can help avoid injuries.
  • Proper Nutrition: A balanced diet rich in calcium and vitamin D can help maintain bone health and reduce the risk of fractures.

For athletes and individuals involved in high-impact activities, wearing protective gear and following proper training techniques can also help prevent humerus bone breaks.

In conclusion, a humerus bone break is a serious injury that requires prompt medical attention and appropriate treatment. Understanding the causes, symptoms, and treatment options can help individuals seek timely care and facilitate a smoother recovery process. Whether through non-surgical methods or surgical intervention, the goal is to restore function and mobility, allowing individuals to return to their daily activities with confidence.

Related Terms:

  • humerus fracture signs and symptoms
  • humerus bone break healing time
  • closed fracture of humerus
  • humerus bone break treatment
  • humerus bone fracture recovery time
  • fractured humerus bone in shoulder