Hip Bone Spur

Hip Bone Spur

Understanding the intricacies of a hip bone spur can be crucial for anyone experiencing hip pain or discomfort. A hip bone spur, also known as a hip osteophyte, is a bony projection that develops along bone edges. These spurs can form due to various reasons, including aging, injury, or underlying conditions like osteoarthritis. This blog post delves into the causes, symptoms, diagnosis, and treatment options for hip bone spurs, providing a comprehensive guide for those seeking information on this condition.

Understanding Hip Bone Spurs

A hip bone spur is a bony growth that forms on the edges of bones, often in response to injury, wear and tear, or underlying conditions. These spurs can cause significant discomfort and limit mobility if they press on nerves or soft tissues. Understanding the anatomy and function of the hip joint is essential for grasping how bone spurs develop and affect the body.

Causes of Hip Bone Spurs

Several factors can contribute to the development of a hip bone spur. Some of the most common causes include:

  • Osteoarthritis: This degenerative joint disease is one of the primary causes of hip bone spurs. As the cartilage in the joint wears down, the body attempts to repair the damage by forming new bone, which can lead to spurs.
  • Aging: The natural aging process can weaken bones and cartilage, making them more susceptible to damage and the formation of bone spurs.
  • Injury: Trauma to the hip joint, such as a fracture or dislocation, can cause bone spurs to develop as the body heals.
  • Overuse: Repetitive stress on the hip joint, often seen in athletes or individuals with physically demanding jobs, can lead to the formation of bone spurs.
  • Inflammatory Conditions: Conditions like rheumatoid arthritis can cause inflammation in the joints, leading to bone spurs.

Symptoms of Hip Bone Spurs

The symptoms of a hip bone spur can vary depending on the location and size of the spur. Some individuals may not experience any symptoms at all, while others may have significant discomfort. Common symptoms include:

  • Pain: Persistent pain in the hip area, which may worsen with activity and improve with rest.
  • Stiffness: Reduced range of motion in the hip joint, making it difficult to perform daily activities.
  • Swelling: Inflammation and swelling around the hip joint.
  • Tenderness: Sensitivity to touch or pressure in the affected area.
  • Limping: Difficulty walking or a noticeable limp due to pain and discomfort.

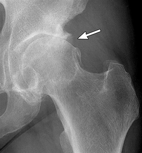
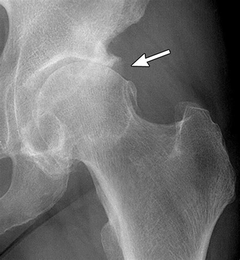
Diagnosing Hip Bone Spurs

Diagnosing a hip bone spur typically involves a combination of medical history, physical examination, and imaging tests. Here are the steps involved in the diagnostic process:

  • Medical History: The healthcare provider will ask about symptoms, medical history, and any recent injuries or conditions that may contribute to the development of a hip bone spur.
  • Physical Examination: A thorough physical exam will be conducted to assess the range of motion, tenderness, and any signs of inflammation in the hip joint.
  • Imaging Tests: Various imaging tests can help confirm the presence of a hip bone spur. These may include:
Imaging Test Description
X-ray Provides clear images of bones and can detect the presence of bone spurs.
MRI Offers detailed images of soft tissues and can show the extent of damage to cartilage and other structures.
CT Scan Provides cross-sectional images of the hip joint, helping to identify the location and size of bone spurs.

These imaging tests are crucial for determining the exact location and size of the hip bone spur, as well as any underlying conditions that may be contributing to its development.

Treatment Options for Hip Bone Spurs

The treatment for a hip bone spur depends on the severity of symptoms and the underlying cause. In many cases, conservative treatments are effective in managing pain and improving mobility. However, in severe cases, surgical intervention may be necessary.

Conservative Treatments

Conservative treatments aim to alleviate symptoms and improve joint function without surgery. These may include:

  • Medications: Over-the-counter pain relievers such as ibuprofen or naproxen can help reduce pain and inflammation. In some cases, prescription medications may be necessary.
  • Physical Therapy: Exercises and stretches designed to strengthen the muscles around the hip joint and improve flexibility can be beneficial. A physical therapist can develop a personalized treatment plan.
  • Weight Management: Maintaining a healthy weight can reduce stress on the hip joint and alleviate symptoms.
  • Lifestyle Modifications: Avoiding activities that exacerbate symptoms and using assistive devices like canes or walkers can help manage pain and improve mobility.

📝 Note: It is essential to consult with a healthcare provider before starting any new treatment regimen, including medications and physical therapy.

Surgical Treatments

In cases where conservative treatments are ineffective, surgical intervention may be necessary. Surgical options for treating a hip bone spur include:

  • Arthroscopy: A minimally invasive procedure that involves inserting a small camera and surgical instruments into the joint to remove the bone spur and repair any damaged tissue.
  • Open Surgery: A more invasive procedure that involves making a larger incision to access the hip joint and remove the bone spur. This may be necessary in cases where the spur is large or located in a difficult-to-reach area.
  • Joint Replacement: In severe cases of osteoarthritis or other degenerative conditions, a total hip replacement may be recommended. This involves replacing the damaged joint with an artificial implant.

Surgical treatments carry risks and potential complications, so it is crucial to discuss the benefits and drawbacks with a healthcare provider before proceeding.

Preventing Hip Bone Spurs

While it may not be possible to prevent all cases of hip bone spurs, there are steps individuals can take to reduce their risk. These include:

  • Maintaining a Healthy Weight: Excess weight can put additional stress on the hip joint, increasing the risk of bone spurs.
  • Regular Exercise: Engaging in low-impact exercises like swimming or cycling can help strengthen the muscles around the hip joint and improve flexibility.
  • Avoiding High-Impact Activities: Activities that involve repetitive stress on the hip joint, such as running or jumping, should be avoided or limited.
  • Proper Nutrition: A balanced diet rich in calcium and vitamin D can help maintain bone health and reduce the risk of bone spurs.
  • Wearing Appropriate Footwear: Shoes with good support and cushioning can help reduce stress on the hip joint and prevent injuries.

By taking these preventive measures, individuals can reduce their risk of developing hip bone spurs and maintain overall joint health.

In conclusion, understanding the causes, symptoms, diagnosis, and treatment options for hip bone spurs is essential for managing this condition effectively. Whether through conservative treatments or surgical interventions, there are various approaches to alleviate pain and improve mobility. By taking preventive measures and seeking timely medical attention, individuals can maintain their hip health and enjoy an active lifestyle.

Related Terms:

  • bone spurs after hip replacement
  • hip bone spur treatment
  • hip bone spurs pain
  • does hip bone spurs hurt
  • bone spurs in hip area
  • bone spurs in hip symptoms