Displaced Vs Nondisplaced Fracture

Displaced Vs Nondisplaced Fracture

Fractures are a common injury that can significantly impact an individual's mobility and quality of life. Understanding the different types of fractures, particularly displaced vs nondisplaced fracture, is crucial for effective treatment and recovery. This blog post delves into the distinctions between these two types of fractures, their causes, symptoms, diagnosis, and treatment options.

Understanding Fractures

A fracture is a break in the continuity of a bone. It can occur due to various reasons, including trauma, overuse, or underlying medical conditions. Fractures are classified based on several factors, such as the location, pattern, and severity of the break. One of the key classifications is whether the fracture is displaced or nondisplaced.

Displaced Fracture

A displaced fracture occurs when the bone fragments are separated and no longer aligned. This type of fracture is more severe and often requires surgical intervention to realign the bone fragments. Displaced fractures can cause significant pain, swelling, and deformity at the site of the injury.

Causes of displaced fractures include:

  • High-impact trauma, such as falls from a significant height or motor vehicle accidents.
  • Sports injuries, particularly in contact sports like football or rugby.
  • Underlying bone conditions, such as osteoporosis, which weaken the bone structure.

Symptoms of a displaced fracture may include:

  • Severe pain at the site of the injury.
  • Visible deformity or misalignment of the bone.
  • Swelling and bruising.
  • Inability to move the affected limb or joint.

Nondisplaced Fracture

A nondisplaced fracture, also known as a stable fracture, occurs when the bone fragments remain aligned and in their normal position. This type of fracture is generally less severe and may heal more quickly with conservative treatment methods. Nondisplaced fractures are often the result of lower-impact injuries.

Causes of nondisplaced fractures include:

  • Low-impact trauma, such as falls from standing height or minor accidents.
  • Stress fractures, which occur due to repetitive stress on the bone.
  • Underlying medical conditions that weaken the bone, such as osteoporosis or certain cancers.

Symptoms of a nondisplaced fracture may include:

  • Mild to moderate pain at the site of the injury.
  • Swelling and tenderness.
  • Limited range of motion in the affected area.

Diagnosing Displaced vs Nondisplaced Fracture

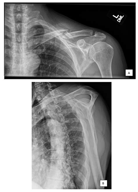
Diagnosing a fracture involves a combination of physical examination and imaging tests. The healthcare provider will assess the injury site for pain, swelling, and deformity. Imaging tests, such as X-rays, CT scans, or MRI, are used to confirm the diagnosis and determine the type and severity of the fracture.

X-rays are the most common imaging test used to diagnose fractures. They provide a clear view of the bone structure and can show whether the fracture is displaced or nondisplaced. CT scans and MRI may be used for more detailed imaging, especially in complex fractures or when soft tissue damage is suspected.

Treatment Options for Displaced vs Nondisplaced Fracture

The treatment for a fracture depends on its type, location, and severity. The primary goals of treatment are to realign the bone fragments, promote healing, and restore function.

Treatment for Displaced Fractures

Displaced fractures often require surgical intervention to realign the bone fragments. Common surgical procedures include:

  • Open reduction and internal fixation (ORIF): This procedure involves making an incision to access the fracture site, realigning the bone fragments, and securing them with plates, screws, or rods.
  • Closed reduction: In some cases, the bone fragments can be realigned without surgery by manually manipulating the limb. This is often followed by immobilization with a cast or splint.

After surgery, the affected area is typically immobilized with a cast or splint to promote healing. Physical therapy may be recommended to restore range of motion and strength.

Treatment for Nondisplaced Fractures

Nondisplaced fractures can often be treated conservatively without surgery. Common treatment methods include:

  • Immobilization: The affected area is immobilized with a cast, splint, or brace to prevent movement and promote healing.
  • Pain management: Over-the-counter pain relievers, such as ibuprofen or acetaminophen, may be recommended to manage pain and inflammation.
  • Physical therapy: Once the fracture has healed, physical therapy may be recommended to restore range of motion and strength.

In some cases, a nondisplaced fracture may become displaced over time due to movement or weight-bearing activities. If this occurs, surgical intervention may be necessary to realign the bone fragments.

Recovery and Rehabilitation

The recovery process for a fracture depends on its type, location, and severity. Generally, the healing process involves several stages:

  • Inflammatory phase: This phase begins immediately after the injury and lasts for about 1-2 weeks. It is characterized by pain, swelling, and inflammation.
  • Repair phase: This phase lasts for about 2-6 weeks and involves the formation of new bone tissue to bridge the fracture gap.
  • Remodeling phase: This phase can last for several months to years and involves the remodeling of the new bone tissue to restore its strength and structure.

During the recovery process, it is important to follow the healthcare provider's instructions for immobilization, pain management, and rehabilitation. Physical therapy can help restore range of motion, strength, and function in the affected area.

It is also important to maintain a healthy lifestyle during the recovery process. This includes:

  • Eating a balanced diet rich in calcium and vitamin D to support bone healing.
  • Avoiding smoking and excessive alcohol consumption, which can impair bone healing.
  • Gradually returning to normal activities as recommended by the healthcare provider.

📝 Note: The recovery time for a fracture can vary depending on the individual's age, overall health, and the severity of the injury. It is important to be patient and follow the healthcare provider's instructions for optimal healing.

Preventing Fractures

While not all fractures can be prevented, there are several steps that can be taken to reduce the risk of injury. These include:

  • Maintaining a healthy lifestyle with regular exercise and a balanced diet.
  • Wearing appropriate protective gear during sports and other activities.
  • Avoiding high-risk activities, such as climbing or jumping from heights.
  • Managing underlying medical conditions that can weaken the bones, such as osteoporosis.

For individuals with osteoporosis or other bone-weakening conditions, it is important to work with a healthcare provider to develop a treatment plan that includes medication, lifestyle modifications, and regular bone density screenings.

In addition to these preventive measures, it is important to be aware of the signs and symptoms of a fracture and seek medical attention promptly if an injury occurs. Early diagnosis and treatment can help prevent complications and promote faster healing.

Fractures are a common injury that can significantly impact an individual's mobility and quality of life. Understanding the different types of fractures, particularly displaced vs nondisplaced fracture, is crucial for effective treatment and recovery. By following the appropriate treatment and rehabilitation protocols, individuals can recover from fractures and return to their normal activities.

Fractures are a common injury that can significantly impact an individual's mobility and quality of life. Understanding the different types of fractures, particularly displaced vs nondisplaced fracture, is crucial for effective treatment and recovery. By following the appropriate treatment and rehabilitation protocols, individuals can recover from fractures and return to their normal activities.

Fractures are a common injury that can significantly impact an individual's mobility and quality of life. Understanding the different types of fractures, particularly displaced vs nondisplaced fracture, is crucial for effective treatment and recovery. By following the appropriate treatment and rehabilitation protocols, individuals can recover from fractures and return to their normal activities.

Fractures are a common injury that can significantly impact an individual's mobility and quality of life. Understanding the different types of fractures, particularly displaced vs nondisplaced fracture, is crucial for effective treatment and recovery. By following the appropriate treatment and rehabilitation protocols, individuals can recover from fractures and return to their normal activities.

Fractures are a common injury that can significantly impact an individual's mobility and quality of life. Understanding the different types of fractures, particularly displaced vs nondisplaced fracture, is crucial for effective treatment and recovery. By following the appropriate treatment and rehabilitation protocols, individuals can recover from fractures and return to their normal activities.

Fractures are a common injury that can significantly impact an individual's mobility and quality of life. Understanding the different types of fractures, particularly displaced vs nondisplaced fracture, is crucial for effective treatment and recovery. By following the appropriate treatment and rehabilitation protocols, individuals can recover from fractures and return to their normal activities.

Fractures are a common injury that can significantly impact an individual's mobility and quality of life. Understanding the different types of fractures, particularly displaced vs nondisplaced fracture, is crucial for effective treatment and recovery. By following the appropriate treatment and rehabilitation protocols, individuals can recover from fractures and return to their normal activities.

Fractures are a common injury that can significantly impact an individual's mobility and quality of life. Understanding the different types of fractures, particularly displaced vs nondisplaced fracture, is crucial for effective treatment and recovery. By following the appropriate treatment and rehabilitation protocols, individuals can recover from fractures and return to their normal activities.

Fractures are a common injury that can significantly impact an individual's mobility and quality of life. Understanding the different types of fractures, particularly displaced vs nondisplaced fracture, is crucial for effective treatment and recovery. By following the appropriate treatment and rehabilitation protocols, individuals can recover from fractures and return to their normal activities.

Fractures are a common injury that can significantly impact an individual's mobility and quality of life. Understanding the different types of fractures, particularly displaced vs nondisplaced fracture, is crucial for effective treatment and recovery. By following the appropriate treatment and rehabilitation protocols, individuals can recover from fractures and return to their normal activities.

Fractures are a common injury that can significantly impact an individual's mobility and quality of life. Understanding the different types of fractures, particularly displaced vs nondisplaced fracture, is crucial for effective treatment and recovery. By following the appropriate treatment and rehabilitation protocols, individuals can recover from fractures and return to their normal activities.

Fractures are a common injury that can significantly impact an individual's mobility and quality of life. Understanding the different types of fractures, particularly displaced vs nondisplaced fracture, is crucial for effective treatment and recovery. By following the appropriate treatment and rehabilitation protocols, individuals can recover from fractures and return to their normal activities.

Fractures are a common injury that can significantly impact an individual's mobility and quality of life. Understanding the different types of fractures, particularly displaced vs nondisplaced fracture, is crucial for effective treatment and recovery. By following the appropriate treatment and rehabilitation protocols, individuals can recover from fractures and return to their normal activities.

Fractures are a common injury that can significantly impact an individual's mobility and quality of life. Understanding the different types of fractures, particularly displaced vs nondisplaced fracture, is crucial for effective treatment and recovery. By following the appropriate treatment and rehabilitation protocols, individuals can recover from fractures and return to their normal activities.

Fractures are a common injury that can significantly impact an individual's mobility and quality of life. Understanding the different types of fractures, particularly displaced vs nondisplaced fracture, is crucial for effective treatment and recovery. By following the appropriate treatment and rehabilitation protocols, individuals can recover from fractures and return to their normal activities.

Fractures are a common injury that can significantly impact an individual's mobility and quality of life. Understanding the different types of fractures, particularly displaced vs nondisplaced fracture, is crucial for effective treatment and recovery. By following the appropriate treatment and rehabilitation protocols, individuals can recover from fractures and return to their normal activities.

Fractures are a common injury that can significantly impact an individual's mobility and quality of life. Understanding the different types of fractures, particularly displaced vs nondisplaced fracture, is crucial for effective treatment and recovery. By following the appropriate treatment and rehabilitation protocols, individuals can recover from fractures and return to their normal activities.

Fractures are a common injury that can significantly impact an individual's mobility and quality of life. Understanding the different types of fractures, particularly displaced vs nondisplaced fracture, is crucial for effective treatment and recovery. By following the appropriate treatment and rehabilitation protocols, individuals can recover from fractures and return to their normal activities.

Fractures are a common injury that can significantly impact an individual's mobility and quality of life. Understanding the different types of fractures, particularly displaced vs nondisplaced fracture, is crucial for effective treatment and recovery. By following the appropriate treatment and rehabilitation protocols, individuals can recover from fractures and return to their normal activities.

Fractures are a common injury that can significantly impact an individual's mobility and quality of life. Understanding the different types of fractures, particularly displaced vs nondisplaced fracture, is crucial for effective treatment and recovery. By following the appropriate treatment and rehabilitation protocols, individuals can recover from fractures and return to their normal activities.

Fractures are a common injury that can significantly impact an individual's mobility and quality of life. Understanding the different types of fractures, particularly displaced vs nondisplaced fracture, is crucial for effective treatment and recovery. By following the appropriate treatment and rehabilitation protocols, individuals can recover from fractures and return to their normal activities.

Fractures are a common injury that can significantly impact an individual's mobility and quality of life. Understanding the different types of fractures, particularly displaced vs nondisplaced fracture, is crucial for effective treatment and recovery. By following the appropriate treatment and rehabilitation protocols, individuals can recover from fractures and return to their normal activities.

Fractures are a common injury that can significantly impact an individual's mobility and quality of life. Understanding the different types of fractures, particularly displaced vs nondisplaced fracture, is crucial for effective treatment and recovery. By following the appropriate treatment and rehabilitation protocols, individuals can recover from fractures and return to their normal activities.

Fractures are a common injury that can significantly impact an individual's mobility and quality of life. Understanding the different types of fractures, particularly displaced vs nondisplaced fracture, is crucial for effective treatment and recovery. By following the appropriate treatment and rehabilitation protocols, individuals can recover from fractures and return to their normal activities.

Fractures are a common injury that can significantly impact an individual's mobility and quality of life. Understanding the different types of fractures, particularly displaced vs nondisplaced fracture, is crucial for effective treatment and recovery. By following the appropriate treatment and rehabilitation protocols, individuals can recover from fractures and return to their normal activities.

Fractures are a common injury that can significantly impact an individual's mobility and quality of life. Understanding the different types of fractures, particularly displaced vs nondisplaced fracture, is crucial for effective treatment and recovery. By following the appropriate treatment and rehabilitation protocols, individuals can recover from fractures and return to their normal activities.

Fractures are a common injury that can significantly impact an individual's mobility and quality of life. Understanding the different types of fractures, particularly displaced vs nondisplaced fracture, is crucial for effective treatment and recovery. By following the appropriate treatment and rehabilitation protocols, individuals can recover from fractures and return to their normal activities.

Fractures are a common injury that can significantly impact an individual's mobility and quality of life. Understanding the different types of fractures, particularly displaced vs nondisplaced fracture, is crucial for effective treatment and recovery. By following the appropriate treatment and rehabilitation protocols, individuals can recover from fractures and return to their normal activities.

Fractures are a common injury that can significantly impact an individual's mobility and quality of life. Understanding the different types of fractures, particularly displaced vs nondisplaced fracture, is crucial for effective treatment and recovery. By following the appropriate treatment and rehabilitation protocols, individuals can recover from fractures and return to their normal activities.

Fractures are a common injury that can significantly impact an individual's mobility and quality of life. Understanding the different types of fractures, particularly displaced vs nondisplaced fracture, is crucial for effective treatment and recovery. By following the appropriate treatment and rehabilitation protocols, individuals can recover from fractures and return to their normal activities.

Fractures are a common injury that can significantly impact an individual's mobility and quality of life. Understanding the different types of fractures, particularly displaced vs nondisplaced fracture, is crucial for effective treatment and recovery. By following the appropriate treatment and rehabilitation protocols, individuals can recover from fractures and return to their normal activities.

Fractures are a common injury that can significantly impact an individual's mobility and quality of life. Understanding the different types of fractures, particularly displaced vs nondisplaced fracture, is crucial for effective treatment and recovery. By following the appropriate treatment and rehabilitation protocols, individuals can recover from fractures and return to their normal activities.

Fractures are a common injury that can significantly impact an individual's mobility and quality of life. Understanding the different types of fractures, particularly displaced vs nondisplaced fracture, is crucial for effective treatment and recovery. By following the appropriate treatment and rehabilitation protocols, individuals can recover from fractures and return to their normal activities.

Fractures are a common injury that can significantly impact an individual's mobility and quality of life. Understanding the different types of fractures, particularly displaced vs nondisplaced fracture, is crucial for effective treatment and recovery. By following the appropriate treatment and rehabilitation protocols, individuals can recover from fractures and return to their normal activities.

Fractures are a common injury that can significantly impact an individual's mobility and quality of life. Understanding the different types of fractures, particularly displaced vs nondisplaced fracture, is crucial for effective treatment and recovery. By following the appropriate treatment and rehabilitation protocols, individuals can recover from fractures and return to their normal activities.

Fractures are a common injury that can significantly impact an individual's mobility and quality of life. Understanding the different types of fractures, particularly displaced vs nondisplaced fracture, is crucial for effective treatment and recovery. By following the appropriate treatment and rehabilitation protocols, individuals can recover from fractures and return to their normal activities.

Fractures are a common injury that can significantly impact an individual's mobility and quality of life. Understanding the different types of fractures, particularly displaced vs nondisplaced fracture, is crucial for effective treatment and recovery. By following the appropriate treatment and rehabilitation protocols, individuals can recover from fractures and return to their normal activities.

Fractures are a common injury that can significantly impact an individual's mobility and quality of life. Understanding the different types of fractures, particularly displaced vs nondisplaced fracture, is crucial for effective treatment and recovery. By following the appropriate treatment and rehabilitation protocols, individuals can recover from fractures and return to their normal activities.

Fractures are a common injury that can significantly impact an individual’s

Related Terms:

  • healing non displaced fracture
  • non displaced fracture vs dislocated
  • non displaced fracture causes
  • questionable nondisplaced fracture
  • suspicious for nondisplaced fracture
  • treatment for non displaced fracture