Dislocated Shoulder Blade

Dislocated Shoulder Blade

Injuries involving the shoulder can be particularly debilitating, and one of the most severe is a dislocated shoulder blade. This condition, also known as scapular dislocation, occurs when the shoulder blade (scapula) is forced out of its normal position. Understanding the causes, symptoms, diagnosis, and treatment options for a dislocated shoulder blade is crucial for anyone who may experience this injury.

Understanding the Shoulder Blade

The shoulder blade, or scapula, is a flat, triangular bone located on the upper back. It plays a vital role in the movement and stability of the shoulder joint. The scapula connects to the humerus (upper arm bone) and the clavicle (collarbone), forming the shoulder girdle. This complex structure allows for a wide range of motion, making the shoulder one of the most mobile joints in the body.

Causes of a Dislocated Shoulder Blade

A dislocated shoulder blade can result from various types of trauma or injuries. Some of the most common causes include:

  • High-impact sports: Activities such as football, rugby, and hockey can lead to dislocations due to the forceful impact on the shoulder.
  • Motor vehicle accidents: The sudden and violent forces involved in car crashes can dislocate the shoulder blade.
  • Falls: Falling onto an outstretched arm or directly onto the shoulder can cause the scapula to dislocate.
  • Direct blows: A direct hit to the shoulder, such as from a punch or a fall, can force the scapula out of place.

Symptoms of a Dislocated Shoulder Blade

Recognizing the symptoms of a dislocated shoulder blade is essential for prompt treatment. Common symptoms include:

  • Severe pain: The pain is often immediate and intense, making it difficult to move the arm.
  • Visible deformity: The shoulder may appear misshapen or out of place.
  • Swelling and bruising: These can develop quickly after the injury.
  • Limited range of motion: The ability to move the arm is significantly reduced.
  • Numbness or tingling: These sensations may occur in the arm or hand due to nerve involvement.

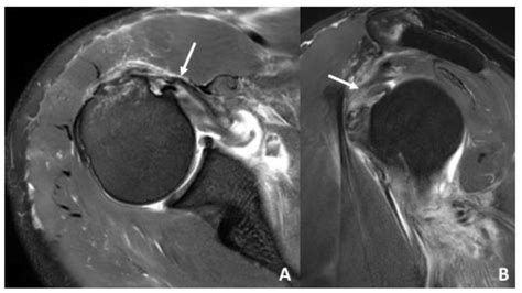
Diagnosing a Dislocated Shoulder Blade

Diagnosing a dislocated shoulder blade involves a combination of physical examination and imaging tests. The healthcare provider will:

  • Assess the injury site for visible deformities, swelling, and bruising.
  • Evaluate the range of motion and any pain or discomfort.
  • Order imaging tests such as X-rays, CT scans, or MRIs to confirm the diagnosis and assess the extent of the injury.

Treatment Options for a Dislocated Shoulder Blade

The treatment for a dislocated shoulder blade depends on the severity of the injury and the individual’s overall health. Common treatment options include:

Non-Surgical Treatment

For less severe dislocations, non-surgical treatment may be sufficient. This can include:

  • Immobilization: The arm may be placed in a sling to keep it still and promote healing.
  • Pain management: Medications such as nonsteroidal anti-inflammatory drugs (NSAIDs) or prescription pain relievers can help manage pain.
  • Physical therapy: Exercises to strengthen the muscles around the shoulder and improve range of motion.

Surgical Treatment

In cases of severe dislocations or when non-surgical treatments are ineffective, surgery may be necessary. Surgical options include:

  • Open reduction: The surgeon makes an incision to realign the scapula and repair any damaged tissues.
  • Arthroscopy: A minimally invasive procedure using a small camera and instruments to repair the dislocation.
  • Bone grafting: In some cases, bone grafts may be used to stabilize the scapula.

Recovery and Rehabilitation

Recovery from a dislocated shoulder blade can take several weeks to months, depending on the severity of the injury and the type of treatment. Rehabilitation is a crucial part of the recovery process. It typically involves:

  • Pain management: Continuing pain medication as prescribed by the healthcare provider.
  • Immobilization: Wearing a sling or brace to keep the shoulder stable.
  • Physical therapy: Gradually increasing exercises to regain strength and range of motion.

📝 Note: It is important to follow the rehabilitation plan prescribed by the healthcare provider to ensure a full recovery and prevent future dislocations.

Preventing Future Dislocations

Preventing future dislocations involves a combination of strengthening exercises, proper technique in sports, and avoiding high-risk activities. Some preventive measures include:

  • Strengthening exercises: Regularly performing exercises to strengthen the muscles around the shoulder.
  • Proper technique: Using correct form and technique in sports and physical activities.
  • Avoiding high-risk activities: Being cautious in activities that have a high risk of shoulder injury.

When to Seek Medical Attention

If you suspect a dislocated shoulder blade, it is crucial to seek medical attention immediately. Delaying treatment can lead to further damage and complications. Signs that warrant immediate medical attention include:

  • Severe pain that does not improve with rest or over-the-counter pain relievers.
  • Visible deformity or swelling.
  • Numbness or tingling in the arm or hand.
  • Inability to move the arm.

In some cases, a dislocated shoulder blade may be accompanied by other injuries, such as fractures or nerve damage. A healthcare provider can assess the extent of the injury and provide appropriate treatment.

In summary, a dislocated shoulder blade is a serious injury that requires prompt medical attention. Understanding the causes, symptoms, diagnosis, and treatment options can help individuals seek appropriate care and prevent future dislocations. By following a comprehensive rehabilitation plan and taking preventive measures, individuals can regain full function of their shoulder and reduce the risk of future injuries.

Related Terms:

  • signs of a dislocated shoulder
  • dislocated shoulder blade symptoms
  • most common shoulder dislocation direction
  • dislocated scapula
  • signs your shoulder is dislocated
  • dislocated shoulder blade pain