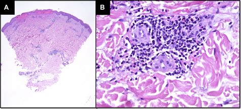
Dermal Hypersensitivity Reaction

Dermal Hypersensitivity Reaction

Dermal hypersensitivity reactions are a significant concern in dermatology, affecting millions of people worldwide. These reactions occur when the skin becomes hypersensitive to certain substances, leading to a range of symptoms from mild irritation to severe allergic responses. Understanding the causes, symptoms, and treatments of dermal hypersensitivity reactions is crucial for managing this condition effectively.

Understanding Dermal Hypersensitivity Reactions

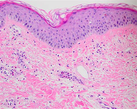
Dermal hypersensitivity reactions, also known as contact dermatitis, are inflammatory responses of the skin to external irritants or allergens. These reactions can be categorized into two main types: irritant contact dermatitis and allergic contact dermatitis.

Irritant Contact Dermatitis

Irritant contact dermatitis is the most common type of dermal hypersensitivity reaction. It occurs when the skin comes into contact with a substance that causes direct irritation. Common irritants include:

  • Soaps and detergents
  • Chemicals
  • Solvents
  • Acids and alkalis

Symptoms of irritant contact dermatitis typically include:

  • Redness
  • Itching
  • Burning sensation
  • Dryness and cracking of the skin

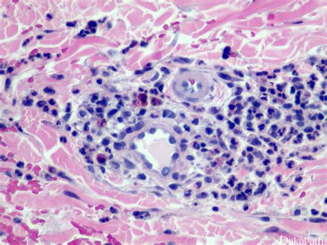
Allergic Contact Dermatitis

Allergic contact dermatitis, on the other hand, is an immune-mediated response to a specific allergen. This type of reaction occurs when the skin becomes sensitized to a substance after repeated exposure. Common allergens include:

  • Nickel
  • Latex
  • Poison ivy
  • Fragrances
  • Preservatives in cosmetics

Symptoms of allergic contact dermatitis may include:

  • Redness
  • Itching
  • Swelling
  • Blisters
  • Oozing and crusting

Diagnosing Dermal Hypersensitivity Reactions

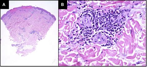
Diagnosing dermal hypersensitivity reactions involves a thorough medical history and physical examination. The healthcare provider will ask about the patient's symptoms, the duration of the symptoms, and any potential triggers. In some cases, patch testing may be recommended to identify the specific allergen causing the reaction.

Patch testing involves applying small amounts of potential allergens to the skin and observing the reaction over a period of time. This test can help identify the specific substance causing the allergic contact dermatitis.

📝 Note: Patch testing should be performed by a healthcare professional to ensure accurate results and minimize the risk of adverse reactions.

Treating Dermal Hypersensitivity Reactions

Treatment for dermal hypersensitivity reactions depends on the type and severity of the reaction. The primary goal of treatment is to relieve symptoms and prevent further exposure to the irritant or allergen.

Avoiding Triggers

The first step in managing dermal hypersensitivity reactions is to identify and avoid the triggering substance. This may involve:

  • Changing personal care products
  • Wearing protective clothing
  • Using gloves when handling irritants

Topical Treatments

Topical treatments are often used to relieve symptoms of dermal hypersensitivity reactions. Common topical treatments include:

  • Corticosteroid creams and ointments
  • Moisturizers
  • Barrier creams

Corticosteroid creams and ointments help reduce inflammation and itching, while moisturizers and barrier creams help protect the skin and prevent further irritation.

Oral Medications

In severe cases, oral medications may be prescribed to manage dermal hypersensitivity reactions. Common oral medications include:

  • Antihistamines
  • Corticosteroids
  • Immunosuppressants

Antihistamines can help relieve itching, while corticosteroids and immunosuppressants are used to reduce inflammation and suppress the immune response.

Preventing Dermal Hypersensitivity Reactions

Preventing dermal hypersensitivity reactions involves taking proactive measures to protect the skin from potential irritants and allergens. Some preventive measures include:

  • Wearing protective clothing and gloves when handling irritants
  • Using mild, fragrance-free personal care products
  • Avoiding known allergens
  • Keeping the skin hydrated and moisturized

By taking these preventive measures, individuals can reduce their risk of developing dermal hypersensitivity reactions and manage existing conditions more effectively.

Common Triggers of Dermal Hypersensitivity Reactions

Identifying common triggers of dermal hypersensitivity reactions can help individuals take proactive steps to avoid these substances and prevent reactions. Some of the most common triggers include:

Trigger Common Sources
Nickel Jewelry, buttons, zippers, coins
Latex Gloves, balloons, condoms
Poison Ivy Plants, outdoor activities
Fragrances Perfumes, cosmetics, cleaning products
Preservatives Cosmetics, skincare products, medications

By being aware of these common triggers, individuals can take steps to avoid exposure and reduce the risk of developing a dermal hypersensitivity reaction.

Living with Dermal Hypersensitivity Reactions

Living with dermal hypersensitivity reactions can be challenging, but with the right management strategies, individuals can lead a comfortable and active life. Some tips for living with dermal hypersensitivity reactions include:

  • Keeping a diary of symptoms and triggers
  • Consulting with a healthcare provider regularly
  • Using gentle, fragrance-free skincare products
  • Wearing protective clothing and gloves
  • Avoiding known allergens

By following these tips and working closely with a healthcare provider, individuals can effectively manage dermal hypersensitivity reactions and improve their quality of life.

Dermal hypersensitivity reactions are a common and often frustrating condition, but with the right knowledge and management strategies, individuals can effectively manage their symptoms and prevent future reactions. By understanding the causes, symptoms, and treatments of dermal hypersensitivity reactions, individuals can take proactive steps to protect their skin and improve their overall well-being.

Related Terms:

  • signs and symptoms of hypersensitivity
  • dermal hypersensitivity reaction symptoms
  • hypersensitivity vs reactive skin disorder
  • how to treat hypersensitivity reaction
  • perivascular dermatitis with eosinophils causes
  • how to treat hypersensitive skin