Cervical Polyp Pictures

Cervical Polyp Pictures

Cervical polyps are benign growths that develop on the cervix, the lower part of the uterus that connects to the vagina. These polyps are usually small, round, and can be either single or multiple. While they are generally harmless, they can sometimes cause symptoms such as abnormal vaginal bleeding, increased menstrual flow, or postmenopausal bleeding. Understanding cervical polyps, their causes, symptoms, and treatment options is crucial for maintaining good reproductive health.

What Are Cervical Polyps?

Cervical polyps are finger-like projections or growths that develop on the surface of the cervix. They are typically noncancerous and can vary in size from a few millimeters to several centimeters. These polyps are usually attached to the cervix by a small stalk, which can sometimes make them more noticeable. Cervical polyps can occur in women of any age but are more common in women who are in their 40s or 50s.

Causes of Cervical Polyps

The exact cause of cervical polyps is not fully understood, but several factors are believed to contribute to their development. These include:

  • Hormonal imbalances: Fluctuations in hormone levels, particularly estrogen, can lead to the growth of cervical polyps.
  • Chronic inflammation: Long-term inflammation of the cervix can increase the risk of developing polyps.
  • Infection: Certain infections, such as those caused by the human papillomavirus (HPV), can contribute to the formation of cervical polyps.
  • Genetic factors: There may be a genetic predisposition to developing cervical polyps, although this is not well understood.

Symptoms of Cervical Polyps

Many women with cervical polyps do not experience any symptoms. However, when symptoms do occur, they can include:

  • Abnormal vaginal bleeding: This can occur between menstrual periods, after sexual intercourse, or after menopause.
  • Increased menstrual flow: Some women may experience heavier menstrual periods.
  • Vaginal discharge: An increase in vaginal discharge, which may be white, yellow, or bloody.
  • Pelvic pain: Although rare, some women may experience pelvic pain or discomfort.

Diagnosis of Cervical Polyps

Cervical polyps are typically diagnosed during a routine pelvic exam. The healthcare provider may use a speculum to visualize the cervix and identify any polyps. If a polyp is detected, the healthcare provider may take a sample for further examination. This process is usually painless and can be done in the office. In some cases, additional tests such as a colposcopy or biopsy may be recommended to rule out any underlying conditions.

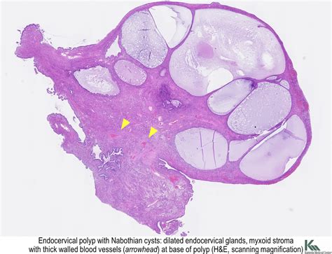
Cervical Polyp Pictures

Visual aids can be incredibly helpful in understanding medical conditions. Cervical polyp pictures provide a clear view of what these growths look like. They can help patients recognize the signs and symptoms and understand the diagnosis process better. Below is a table that describes what cervical polyp pictures typically show:

Feature Description
Size Polyps can range from a few millimeters to several centimeters in size.
Shape They are usually round or oval and can be single or multiple.
Color Polyps can be red, pink, or purple, depending on their blood supply.
Location They are located on the surface of the cervix and may have a stalk.

Cervical polyp pictures are often used in medical textbooks and online resources to educate patients and healthcare providers about the appearance and characteristics of these growths. They can also be useful for comparing symptoms and seeking medical advice.

Cervical Polyp Picture

Treatment Options for Cervical Polyps

Treatment for cervical polyps depends on several factors, including the size and number of polyps, the presence of symptoms, and the patient’s overall health. Common treatment options include:

  • Observation: If the polyps are small and not causing any symptoms, the healthcare provider may recommend monitoring them without immediate treatment.
  • Removal: Larger polyps or those causing symptoms may be removed during a procedure called polypectomy. This can be done in the office using a speculum and a small instrument to twist off the polyp. The base of the polyp is then cauterized to stop any bleeding.
  • Hormonal therapy: In some cases, hormonal treatments may be prescribed to manage symptoms and prevent the recurrence of polyps.

📌 Note: It is important to follow the healthcare provider's recommendations for treatment and follow-up care. Regular check-ups can help monitor the condition and ensure that any new polyps are detected early.

Prevention of Cervical Polyps

While there is no guaranteed way to prevent cervical polyps, certain lifestyle changes and medical practices can help reduce the risk:

  • Regular pelvic exams: Regular check-ups with a healthcare provider can help detect polyps early.
  • Maintaining a healthy lifestyle: A balanced diet, regular exercise, and avoiding smoking can contribute to overall reproductive health.
  • Managing hormonal imbalances: If hormonal imbalances are a concern, working with a healthcare provider to manage them can help reduce the risk of developing polyps.

Cervical polyps are a common condition that can affect women of all ages. While they are generally benign, it is important to seek medical advice if you experience any symptoms or have concerns about your reproductive health. Early detection and treatment can help manage the condition effectively and prevent complications.

Understanding cervical polyps, their causes, symptoms, and treatment options is essential for maintaining good reproductive health. Regular check-ups, a healthy lifestyle, and prompt medical attention can help manage this condition and ensure overall well-being. Cervical polyp pictures can be a valuable tool in educating patients and healthcare providers about the appearance and characteristics of these growths, aiding in early detection and effective treatment.

Related Terms:

  • what causes cervical polyps
  • cervical polypectomy
  • do cervical polyps cause pain
  • cervical polyp pictures nhs
  • cervical ectropion
  • cervical erosion