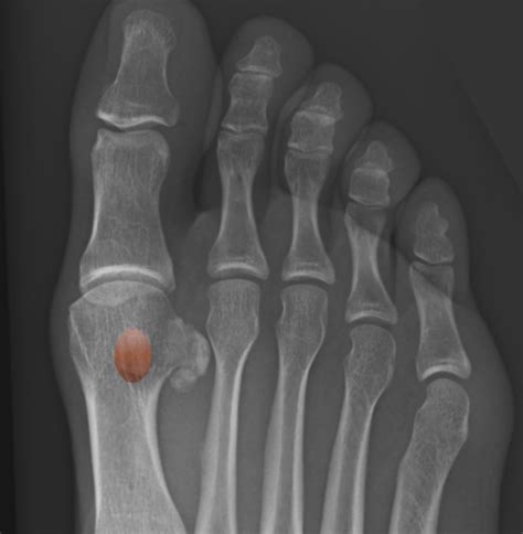
Broken Sesamoid Bone

Broken Sesamoid Bone

Foot injuries can be debilitating, and one of the less common but equally painful conditions is a broken sesamoid bone. These small bones, located under the big toe, play a crucial role in weight distribution and movement. Understanding the causes, symptoms, and treatment options for a broken sesamoid bone is essential for anyone experiencing foot pain or discomfort.

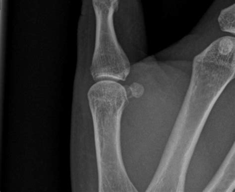
Understanding the Sesamoid Bones

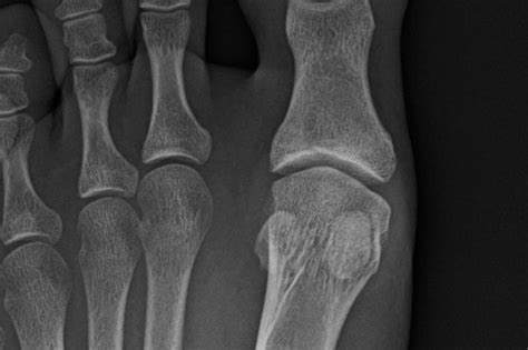
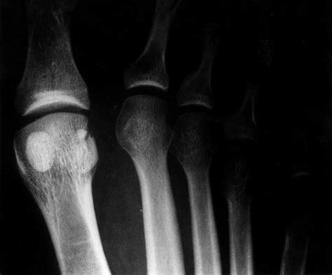
The sesamoid bones are two small, pea-shaped bones embedded within the tendons of the foot. They are located beneath the big toe and act as pulleys, helping to increase the mechanical advantage of the tendons. This allows for smoother and more efficient movement of the foot. The sesamoid bones also help to distribute weight evenly across the foot, reducing pressure on the ball of the foot.

Causes of a Broken Sesamoid Bone

A broken sesamoid bone, also known as a sesamoid fracture, can occur due to various reasons. Some of the most common causes include:

  • Trauma or Injury: Direct impact or trauma to the foot, such as dropping a heavy object on the foot or stubbing the toe, can result in a broken sesamoid bone.
  • Overuse: Repetitive stress and overuse, often seen in athletes and dancers, can lead to a stress fracture in the sesamoid bones.
  • Biomechanical Issues: Abnormal foot mechanics, such as high arches or flat feet, can place excessive pressure on the sesamoid bones, increasing the risk of fracture.
  • Poor Footwear: Wearing shoes that lack proper support or have high heels can contribute to the development of a broken sesamoid bone.

Symptoms of a Broken Sesamoid Bone

Recognizing the symptoms of a broken sesamoid bone is crucial for prompt treatment. Common symptoms include:

  • Pain: Persistent pain under the big toe, especially when walking or standing.
  • Swelling: Swelling and inflammation in the affected area.
  • Bruising: Bruising may be present, although it is not always visible.
  • Difficulty Walking: Pain and discomfort can make it difficult to walk or bear weight on the affected foot.
  • Limited Range of Motion: Reduced ability to move the big toe.

If you experience any of these symptoms, it is important to seek medical attention for a proper diagnosis and treatment plan.

Diagnosing a Broken Sesamoid Bone

Diagnosing a broken sesamoid bone typically involves a combination of physical examination and imaging tests. Your healthcare provider may perform the following:

  • Physical Examination: A thorough examination of the foot to assess pain, swelling, and range of motion.
  • X-Rays: X-ray images to visualize the bones and identify any fractures.
  • MRI or CT Scan: Advanced imaging techniques to provide a more detailed view of the sesamoid bones and surrounding tissues.
  • Bone Scan: A nuclear medicine test that can detect stress fractures that may not be visible on X-rays.

Based on the findings, your healthcare provider will determine the best course of treatment for your broken sesamoid bone.

Treatment Options for a Broken Sesamoid Bone

The treatment for a broken sesamoid bone depends on the severity of the fracture and the underlying cause. Common treatment options include:

Non-Surgical Treatments

For most cases of a broken sesamoid bone, non-surgical treatments are sufficient to promote healing and relieve symptoms. These may include:

  • Rest, Ice, Compression, and Elevation (RICE): Resting the foot, applying ice to reduce swelling, compressing the area with a bandage, and elevating the foot to minimize swelling.
  • Pain Medication: Over-the-counter pain relievers such as ibuprofen or acetaminophen to manage pain and inflammation.
  • Immobilization: Wearing a cast, boot, or brace to immobilize the foot and prevent further injury.
  • Orthotics: Custom orthotic inserts to correct biomechanical issues and distribute weight more evenly across the foot.
  • Physical Therapy: Exercises and stretches to improve strength, flexibility, and range of motion in the foot.

Non-surgical treatments typically take several weeks to a few months to fully heal a broken sesamoid bone. It is important to follow your healthcare provider's instructions and avoid activities that may exacerbate the injury.

Surgical Treatments

In severe cases or when non-surgical treatments are ineffective, surgery may be recommended. Surgical options for a broken sesamoid bone include:

  • Removal of the Sesamoid Bone: Surgical excision of the fractured sesamoid bone to relieve pain and promote healing.
  • Bone Grafting: Using bone grafts to repair the fractured sesamoid bone and promote healing.
  • Internal Fixation: Using screws, plates, or other hardware to stabilize the fractured bone and promote healing.

Surgery is typically followed by a period of immobilization and rehabilitation to ensure proper healing and recovery.

📝 Note: Surgery is usually considered a last resort and is only recommended when non-surgical treatments have failed to provide relief.

Preventing a Broken Sesamoid Bone

Preventing a broken sesamoid bone involves taking proactive measures to protect your feet and maintain overall foot health. Some preventive strategies include:

  • Wear Proper Footwear: Choose shoes that provide adequate support and cushioning, especially if you engage in high-impact activities.
  • Gradual Increase in Activity: Gradually increase the intensity and duration of physical activities to avoid overuse injuries.
  • Maintain a Healthy Weight: Maintaining a healthy weight can reduce the pressure on your feet and lower the risk of injury.
  • Strengthen Foot Muscles: Engage in exercises that strengthen the muscles and tendons in your feet to improve stability and support.
  • Address Biomechanical Issues: If you have high arches or flat feet, consider using orthotic inserts to correct biomechanical issues and distribute weight evenly.

By taking these preventive measures, you can reduce the risk of a broken sesamoid bone and maintain overall foot health.

Recovery and Rehabilitation

Recovery from a broken sesamoid bone can take several weeks to a few months, depending on the severity of the injury and the chosen treatment method. During the recovery period, it is important to follow your healthcare provider's instructions and engage in rehabilitation exercises to promote healing and restore function. Some key aspects of recovery and rehabilitation include:

  • Gradual Return to Activity: Gradually increase your activity level as your foot heals to avoid re-injury.
  • Physical Therapy: Engage in physical therapy exercises to improve strength, flexibility, and range of motion in the foot.
  • Pain Management: Use pain medication as needed to manage discomfort during the recovery process.
  • Follow-Up Care: Attend follow-up appointments with your healthcare provider to monitor your progress and make any necessary adjustments to your treatment plan.

By following these guidelines, you can ensure a smooth and successful recovery from a broken sesamoid bone.

In some cases, a broken sesamoid bone may require additional support or modifications to your footwear or activities. Your healthcare provider can provide personalized recommendations to help you manage your injury and prevent future occurrences.

If you experience persistent pain or discomfort after completing your recovery and rehabilitation program, it is important to consult your healthcare provider for further evaluation and treatment.

In summary, a broken sesamoid bone is a painful and debilitating condition that requires prompt diagnosis and treatment. By understanding the causes, symptoms, and treatment options, you can take proactive steps to manage your injury and promote healing. Whether you opt for non-surgical or surgical treatments, following your healthcare provider’s instructions and engaging in rehabilitation exercises is crucial for a successful recovery. With proper care and attention, you can overcome a broken sesamoid bone and return to your daily activities with confidence.

Related Terms:

  • broken sesamoid bone pain
  • sesamoid bone fracture healing time
  • tibial sesamoid left foot
  • broken sesamoid bone treatment
  • sesamoid fracture recovery time
  • broken sesamoid bone symptoms