Broken Humerus Sleeping Position

Broken Humerus Sleeping Position

Dealing with a broken humerus can be a challenging experience, especially when it comes to finding a comfortable sleeping position. The humerus is the long bone in the upper arm, and a fracture in this area can cause significant pain and discomfort. One of the most critical aspects of recovery is ensuring that you get adequate rest and sleep. This blog post will guide you through the best practices for finding a comfortable Broken Humerus Sleeping Position, managing pain, and promoting healing.

Understanding a Broken Humerus

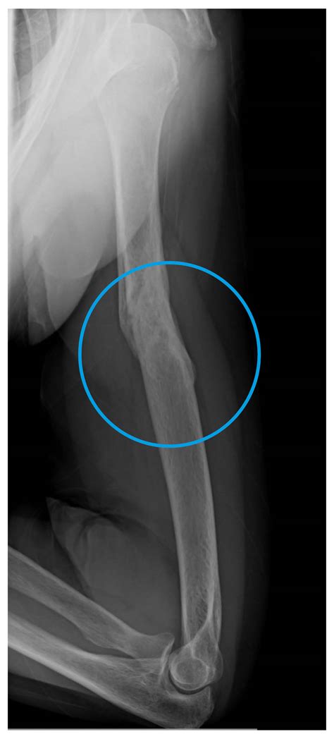
A broken humerus can occur due to various reasons, including falls, sports injuries, or accidents. The humerus is divided into three parts: the proximal humerus (near the shoulder), the shaft of the humerus (the long middle section), and the distal humerus (near the elbow). The type and location of the fracture will determine the severity of the injury and the appropriate treatment.

Symptoms of a broken humerus may include:

  • Severe pain, especially when moving the arm
  • Swelling and bruising
  • Deformity or visible bone protrusion
  • Inability to move the arm
  • Numbness or tingling in the arm or hand

Initial Treatment and Medical Care

If you suspect a broken humerus, it is crucial to seek immediate medical attention. The initial treatment may include:

  • Immobilization of the arm using a sling or splint
  • Pain management with medications
  • Ice application to reduce swelling
  • Elevation of the arm to minimize swelling

Depending on the severity of the fracture, further treatment may involve:

  • Closed reduction: Realigning the bone without surgery
  • Open reduction and internal fixation (ORIF): Surgical procedure to realign the bone and use plates, screws, or rods to hold it in place
  • External fixation: Using a frame outside the body to hold the bone in place

Finding a Comfortable Broken Humerus Sleeping Position

Sleeping with a broken humerus can be particularly challenging. The key is to find a position that minimizes pain and pressure on the injured arm. Here are some tips to help you find a comfortable Broken Humerus Sleeping Position:

Sleeping on Your Back

Sleeping on your back is often the most comfortable position for someone with a broken humerus. This position allows you to keep your injured arm supported and elevated. Here are some steps to make this position more comfortable:

  • Use a pillow to support your injured arm. Place the pillow under your arm to keep it elevated and reduce swelling.
  • Consider using a body pillow or a wedge pillow to support your back and keep your spine aligned.
  • Avoid twisting or turning your body, as this can put pressure on the injured arm.

Sleeping on Your Uninjured Side

If sleeping on your back is not comfortable, you can try sleeping on your uninjured side. This position can help reduce pressure on the injured arm. Here are some tips:

  • Use a pillow to support your injured arm. Place the pillow in front of your body to keep your arm elevated and supported.
  • Use a body pillow or a wedge pillow to support your back and keep your spine aligned.
  • Avoid rolling onto your injured side, as this can cause pain and discomfort.

Sleeping on Your Stomach

Sleeping on your stomach is generally not recommended for someone with a broken humerus, as it can put pressure on the injured arm. However, if you find this position more comfortable, you can try the following:

  • Use a pillow to support your injured arm. Place the pillow under your chest to keep your arm elevated and supported.
  • Use a body pillow or a wedge pillow to support your back and keep your spine aligned.
  • Avoid twisting or turning your body, as this can put pressure on the injured arm.

Managing Pain and Promoting Healing

Managing pain and promoting healing are essential aspects of recovering from a broken humerus. Here are some tips to help you manage pain and promote healing:

Pain Management

Pain management is crucial for a comfortable recovery. Your doctor may prescribe pain medications, such as:

  • Over-the-counter pain relievers, such as acetaminophen or ibuprofen
  • Prescription pain medications, such as opioids or muscle relaxants

In addition to medications, you can try the following techniques to manage pain:

  • Apply ice to the injured area for 15-20 minutes, several times a day
  • Elevate your arm to reduce swelling
  • Use a sling or splint to immobilize your arm

Promoting Healing

Promoting healing involves following your doctor's instructions and taking care of your overall health. Here are some tips to promote healing:

  • Follow your doctor's instructions for immobilization and rehabilitation
  • Eat a balanced diet rich in calcium and vitamin D to support bone healing
  • Stay hydrated by drinking plenty of water
  • Get adequate rest and sleep
  • Avoid smoking and excessive alcohol consumption, as they can impair healing

Rehabilitation and Physical Therapy

Rehabilitation and physical therapy are essential for regaining strength and mobility in your injured arm. Your doctor may refer you to a physical therapist who can develop a personalized rehabilitation plan. Here are some exercises and techniques that may be included in your rehabilitation plan:

Range of Motion Exercises

Range of motion exercises help improve flexibility and mobility in your injured arm. Your physical therapist may recommend the following exercises:

  • Shoulder rolls: Gently roll your shoulders forward and backward
  • Arm circles: Gently move your arm in small circles
  • Elbow bends: Gently bend and straighten your elbow

Strengthening Exercises

Strengthening exercises help build muscle strength and stability in your injured arm. Your physical therapist may recommend the following exercises:

  • Resistance band exercises: Use a resistance band to perform exercises that target your shoulder, elbow, and wrist muscles
  • Weight-bearing exercises: Gradually increase the weight you lift to build strength in your arm
  • Isometric exercises: Contract your muscles without moving your arm to build strength

Pain Management Techniques

Your physical therapist may also teach you pain management techniques, such as:

  • Deep breathing exercises
  • Progressive muscle relaxation
  • Heat and cold therapy

💡 Note: Always consult with your doctor or physical therapist before starting any new exercises or techniques.

Common Complications and When to Seek Medical Attention

While recovering from a broken humerus, it is essential to be aware of potential complications. If you experience any of the following symptoms, seek medical attention immediately:

  • Increased pain or swelling
  • Numbness or tingling in your arm or hand
  • Deformity or visible bone protrusion
  • Inability to move your arm
  • Fever or chills
  • Redness or warmth around the injured area

These symptoms may indicate a complication, such as infection, nerve damage, or a displaced fracture. It is crucial to seek medical attention promptly to prevent further damage and promote healing.

Tips for Daily Activities

Managing daily activities with a broken humerus can be challenging, but there are several tips to help you navigate your daily routine:

Dressing and Grooming

Dressing and grooming can be difficult with a broken humerus. Here are some tips to make these tasks easier:

  • Use adaptive clothing, such as button-down shirts or zip-up sweaters
  • Use a dressing stick or long-handled shoehorn to help with dressing
  • Ask for help from a friend or family member

Cooking and Meal Preparation

Cooking and meal preparation can also be challenging. Here are some tips to make these tasks easier:

  • Use adaptive kitchen tools, such as one-handed cutting boards or automatic can openers
  • Prepare meals in advance and freeze them for later use
  • Ask for help from a friend or family member

Work and School

If you need to work or attend school, here are some tips to make these tasks easier:

  • Use adaptive equipment, such as ergonomic keyboards or voice-activated software
  • Take frequent breaks to rest your arm
  • Ask for accommodations from your employer or school

In addition to these tips, it is essential to listen to your body and avoid activities that cause pain or discomfort. Gradually increase your activity level as your arm heals, and always follow your doctor's instructions.

Recovering from a broken humerus requires patience, dedication, and the right strategies for managing pain and promoting healing. By finding a comfortable Broken Humerus Sleeping Position, managing pain, and following your doctor’s instructions, you can promote healing and regain strength and mobility in your injured arm. Remember to seek medical attention if you experience any complications or symptoms that concern you. With the right care and support, you can make a full recovery and return to your daily activities.

Related Terms:

  • sleeping with fractured humerus
  • humerus fracture recovery time
  • sleeping with a fractured shoulder
  • neck of humerus fracture management
  • humerus fracture recovery advice
  • treatment for fractured humerus