Brain Mass Removal

Brain Mass Removal

Brain tumors are complex and often life-threatening conditions that require immediate medical attention. One of the critical procedures in managing brain tumors is Brain Mass Removal. This surgical intervention aims to eliminate as much of the tumor as possible while preserving essential brain functions. The process involves meticulous planning, advanced surgical techniques, and a multidisciplinary approach to ensure the best possible outcomes for patients.

Understanding Brain Tumors

Brain tumors can be either benign or malignant. Benign tumors are non-cancerous and grow slowly, while malignant tumors are cancerous and can spread to other parts of the brain or body. The symptoms of a brain tumor can vary widely depending on its size, location, and rate of growth. Common symptoms include:

  • Headaches
  • Seizures
  • Nausea and vomiting
  • Vision problems
  • Weakness or numbness in the limbs
  • Changes in mood or personality
  • Difficulty with speech or memory

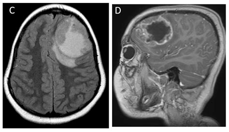
Diagnosing a brain tumor typically involves a combination of imaging tests, such as magnetic resonance imaging (MRI) and computed tomography (CT) scans. These tests help doctors determine the size, location, and type of tumor, which is crucial for planning the Brain Mass Removal procedure.

Preparing for Brain Mass Removal

Preparation for Brain Mass Removal surgery is a comprehensive process that involves several steps. The goal is to ensure the patient is in the best possible condition for surgery and to minimize risks. Key preparatory steps include:

  • Medical Evaluation: A thorough medical evaluation is conducted to assess the patient's overall health. This includes blood tests, electrocardiograms (ECGs), and other diagnostic tests to ensure the patient can safely undergo surgery.
  • Imaging Studies: Detailed imaging studies, such as MRI and CT scans, are reviewed to map the tumor's location and plan the surgical approach.
  • Neurological Assessment: A neurological examination is performed to evaluate the patient's cognitive and motor functions. This helps in understanding the potential impact of the surgery on these functions.
  • Patient Education: The surgical team provides detailed information about the procedure, potential risks, and expected outcomes. This helps the patient and their family make informed decisions.

In some cases, preoperative treatments such as chemotherapy or radiation therapy may be recommended to shrink the tumor and make the surgery more effective.

Surgical Techniques for Brain Mass Removal

The surgical techniques used for Brain Mass Removal depend on the tumor's location, size, and type. Common surgical approaches include:

  • Craniotomy: This is the most common surgical procedure for removing brain tumors. It involves making an incision in the scalp and removing a portion of the skull to access the tumor. The tumor is then carefully removed using specialized instruments.
  • Endoscopic Surgery: This minimally invasive technique uses an endoscope, a thin tube with a camera and light, to access the tumor through small incisions. It is often used for tumors in hard-to-reach areas.
  • Stereotactic Surgery: This technique uses a three-dimensional coordinate system to precisely locate and remove the tumor. It is often used for deep-seated tumors that are difficult to access through traditional methods.

During the surgery, neurosurgeons use advanced imaging technologies, such as intraoperative MRI, to guide the procedure and ensure that as much of the tumor is removed as possible while minimizing damage to healthy brain tissue.

Post-Operative Care and Recovery

After Brain Mass Removal surgery, patients require careful post-operative care to ensure a smooth recovery. Key aspects of post-operative care include:

  • Monitoring: Patients are closely monitored in the intensive care unit (ICU) for the first few days to manage any potential complications, such as bleeding, infection, or swelling.
  • Pain Management: Pain medication is administered to manage postoperative pain and discomfort.
  • Physical Therapy: Physical therapy is often recommended to help patients regain strength and mobility. This may include exercises to improve balance, coordination, and motor skills.
  • Follow-Up Care: Regular follow-up appointments with the neurosurgeon and other healthcare providers are essential to monitor the patient's progress and detect any recurrence of the tumor.

Recovery from Brain Mass Removal surgery can take several weeks to months, depending on the extent of the surgery and the patient's overall health. Patients may experience temporary side effects, such as fatigue, headaches, and cognitive changes, which typically improve over time.

Potential Complications and Risks

While Brain Mass Removal surgery is generally safe, it carries certain risks and potential complications. These include:

  • Infection: There is a risk of infection at the surgical site, which can be managed with antibiotics.
  • Bleeding: Excessive bleeding during or after surgery can lead to complications, such as hematomas or strokes.
  • Neurological Deficits: Depending on the location of the tumor, there may be temporary or permanent neurological deficits, such as weakness, numbness, or cognitive changes.
  • Seizures: Some patients may experience seizures after surgery, which can be managed with anti-seizure medications.
  • Hydrocephalus: In some cases, the surgery may lead to the accumulation of cerebrospinal fluid in the brain, requiring a shunt to drain the excess fluid.

It is important for patients to discuss these risks with their healthcare providers and understand the potential benefits and drawbacks of the surgery.

📝 Note: The risks and complications associated with Brain Mass Removal surgery can vary depending on the individual patient's condition and the specific details of the procedure. Patients should consult with their healthcare providers for personalized information.

Advances in Brain Mass Removal Techniques

Advances in medical technology and surgical techniques have significantly improved the outcomes of Brain Mass Removal surgery. Some of the latest developments include:

  • Image-Guided Surgery: Advanced imaging technologies, such as intraoperative MRI and CT scans, provide real-time guidance during surgery, allowing surgeons to precisely locate and remove the tumor while minimizing damage to healthy tissue.
  • Minimally Invasive Techniques: Techniques such as endoscopic surgery and stereotactic surgery offer less invasive alternatives to traditional craniotomy, reducing recovery time and minimizing complications.
  • Robot-Assisted Surgery: Robotic systems, such as the da Vinci Surgical System, provide enhanced precision and control during surgery, allowing for more accurate tumor removal.
  • Awake Craniotomy: This technique involves performing the surgery while the patient is awake, allowing neurosurgeons to monitor the patient's neurological functions in real-time and adjust the procedure as needed.

These advancements have led to improved surgical outcomes, reduced recovery times, and enhanced quality of life for patients undergoing Brain Mass Removal surgery.

Multidisciplinary Approach to Brain Tumor Management

Effective management of brain tumors requires a multidisciplinary approach involving a team of healthcare professionals. This team typically includes:

  • Neurosurgeons: Specialists in brain surgery who perform the Brain Mass Removal procedure.
  • Neurologists: Experts in diagnosing and treating neurological conditions, including brain tumors.
  • Oncologists: Specialists in cancer treatment who may recommend chemotherapy or radiation therapy before or after surgery.
  • Radiologists: Experts in interpreting imaging studies, such as MRI and CT scans, to guide diagnosis and treatment.
  • Physical Therapists: Professionals who help patients regain strength and mobility after surgery.
  • Occupational Therapists: Specialists who assist patients in regaining daily living skills and cognitive functions.

This collaborative approach ensures that patients receive comprehensive care tailored to their specific needs, improving the overall outcomes of Brain Mass Removal surgery.

Patient Support and Resources

Undergoing Brain Mass Removal surgery can be a challenging experience for patients and their families. Access to support and resources can make a significant difference in coping with the diagnosis and recovery process. Some valuable resources include:

  • Support Groups: Joining support groups for brain tumor patients can provide emotional support, practical advice, and a sense of community.
  • Counseling Services: Professional counseling can help patients and their families deal with the emotional and psychological aspects of the diagnosis and treatment.
  • Educational Materials: Accessing reliable information about brain tumors and Brain Mass Removal surgery can help patients and their families make informed decisions and understand the treatment process.
  • Financial Assistance: Some organizations offer financial assistance to help cover the costs of treatment, travel, and other expenses related to brain tumor care.

These resources can provide valuable support and assistance throughout the journey of diagnosis, treatment, and recovery.

In conclusion, Brain Mass Removal is a critical procedure in the management of brain tumors. It involves meticulous planning, advanced surgical techniques, and a multidisciplinary approach to ensure the best possible outcomes for patients. While the procedure carries certain risks and potential complications, advancements in medical technology and surgical techniques have significantly improved surgical outcomes and enhanced the quality of life for patients. Access to support and resources can also play a crucial role in helping patients and their families cope with the challenges of brain tumor diagnosis and treatment.

Related Terms:

  • brain tumor removal survival rate
  • brain tumor removal icd 10
  • brain tumor removal surgery video
  • brain tumor removal success rate
  • brain cancer tumor removal
  • brain tumor removal surgery name